Hoi allemaal.
Ik heb al 3 weken kiespijn links bovenin.
Ben al 2 verschillende tandartsen geweest en geen 1 die kan iets vinden.
Hebben jullie een idee? Gaat om de laatste 2 kiezen boven in.
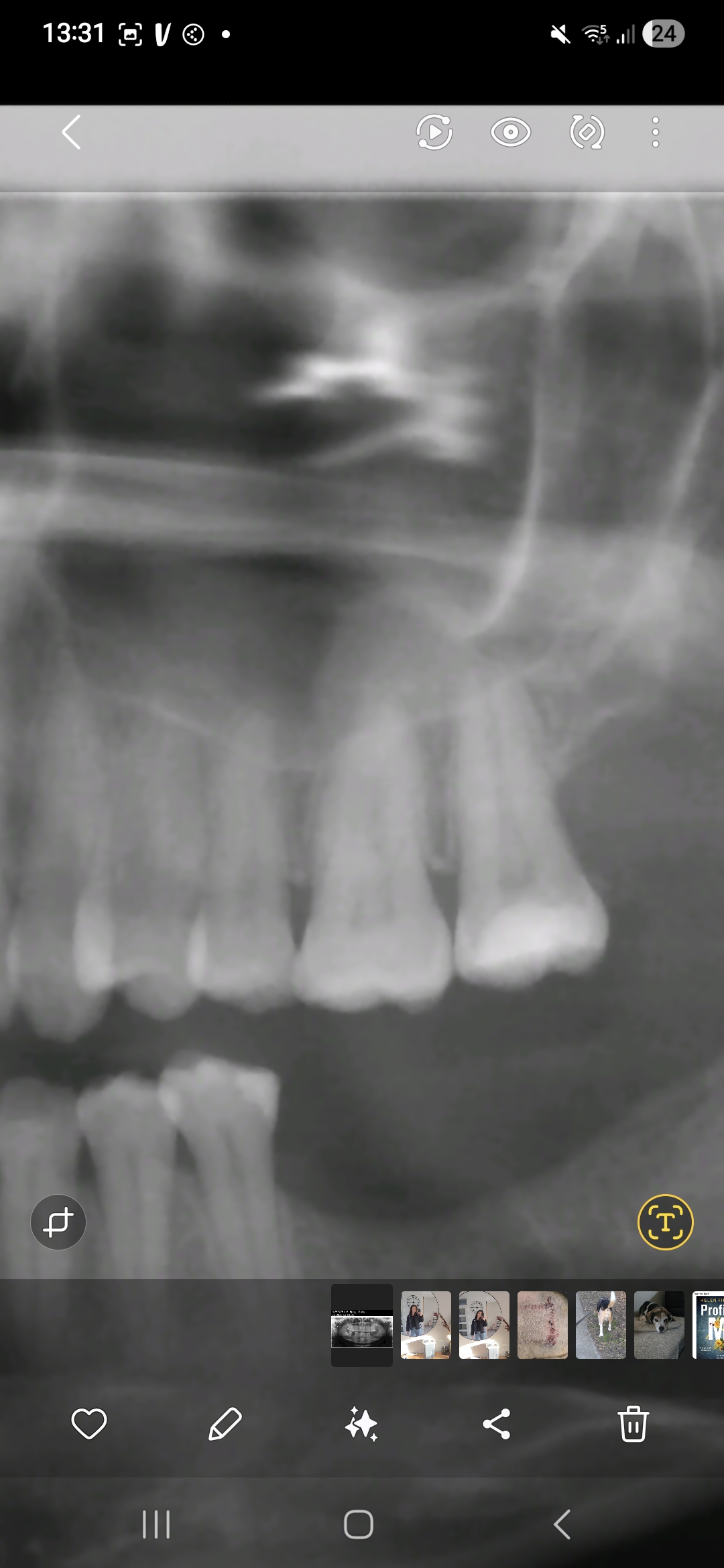
Wazige foto. Mogelijk , vanwege diepe vulling laatste kies, ontsteking wegens afsterven zenuw.
Testen door warm/koude prikkels en /of proefboren zonder verdoving om diagnose te bevestigen. Waarschijnlijk is de kies niet koude of warmte gevoelig of anders wel warmte gevoelig.
Indien "dode" zenuw dan of:
-kies verwijderen omdat ertegenover geen kies zit, dus geen functie..
-Wortelkanaal behandeling.
Foto
Wazige foto. Mogelijk ,…
Testen door warm/koude prikkels en /of proefboren zonder verdoving om diagnose te bevestigen. Waarschijnlijk is de kies niet koude of warmte gevoelig of anders wel warmte gevoelig.
Indien "dode" zenuw dan of:
-kies verwijderen omdat ertegenover geen kies zit, dus geen functie..
-Wortelkanaal behandeling.