Gaatjes in melktanden

Author:
EE
Posted:
ma, 01/12/2026 - 15:40
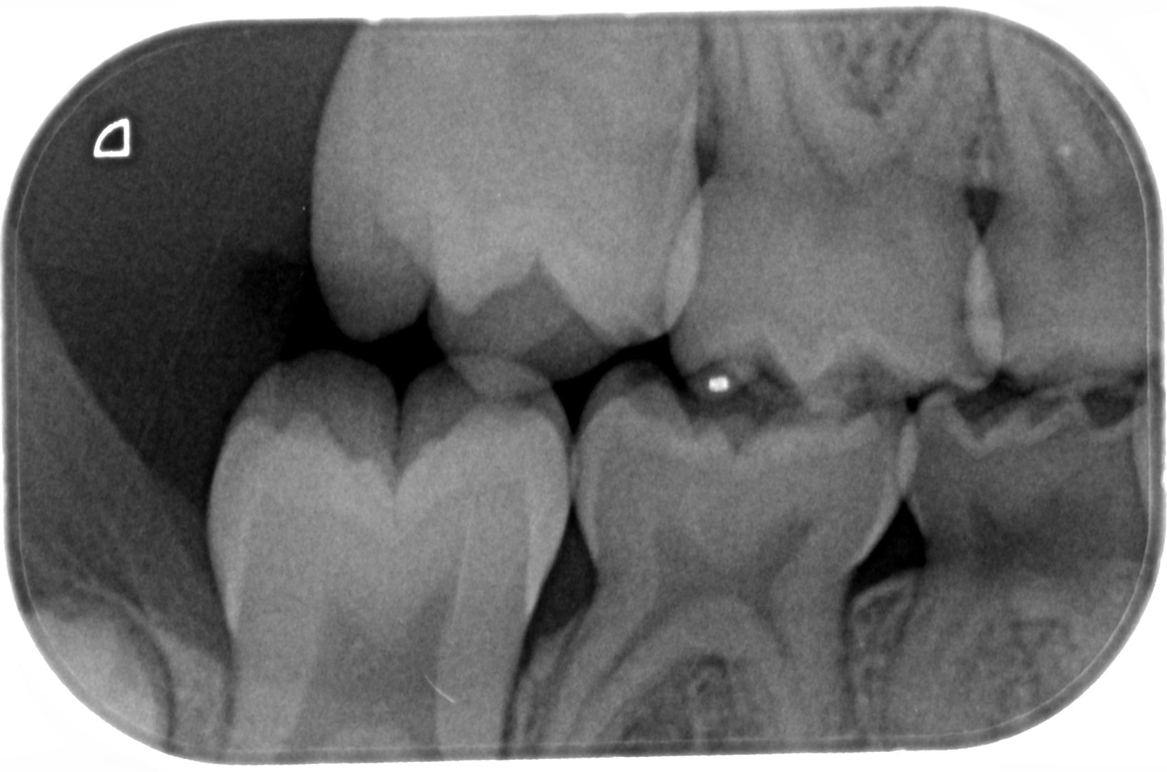
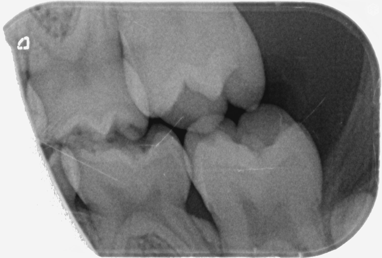
Beste tandarts, Bijgevoegd 2 XR-beelden van de melktand kiezen van onze dochter van 6. Bij een controle bij onze tandarts werden haar tanden visueel gaaf bevonden, maar wou men toch graag een foto maken. Hierop ziet de tandarts 6 gaatjes die ze in 3 sessies wil open maken en vullen. Uiteraard willen wij dat de gaatjes behandeld worden indien nodig. Echter doordat we het gevoel hebben dat er bij elk van ons steeds meerdere problemen gevonden worden waar we geen hinder van ondervinden, zou ik graag een tweede opinie vragen. Omdat ik zelf de beelden niet kan interpreteren, mijn vraag dus of er effectief 6 gaatjes te zien zijn en of het vullen hiervan aanbevolen is. Alvast bedankt voor uw hulp!
Tandarts_Richa…

Soms zijn er gaatjes die op een x-foto niet zichtbaar zijn. Soms juist andersom.
6 jaar oud...Makkelijk of niet makkelijk te behandelen.
Ik beoordeel aan de hand v d combinatie: foto en visueel in de mond mogelijk in combinatie met sonderen ( voelen niet prikken met een haakje). Nu heb ik alleen een x-foto die ik hier niet kan bewerken.
Ik zie mogelijk een gaatje in de 55 en 54. Mogelijk omdat er een overprojectie is. Maar dusdanig klein dat ik zou afwachten tot uw dochter wat ouder is. Na een jaar een vergelijking foto. Maar ik zie geen zes op deze foto's.
Belangrijk intussen is te letten op eet en drink gewoonten. Boodschap is niet v iets mag niet maar met mate. Niet elke dag siroop bijvoorbeeld ...alleen een glaasje in het weekend of op feestjes.En zo ook met sapjes etc etc etc. Bespreek dat met de mondhygieniste. Uw dochter moet zelf poetsen 2x p dag maar daarna doet u ook gelijk een volledig poetsbeurt t/m 10 jaar. Mijn kinderen heb ik tot 15 jaar mogen poetsen.
di, 01/13/2026 - 21:27 Permalink