Hallo Tandarts Forum.
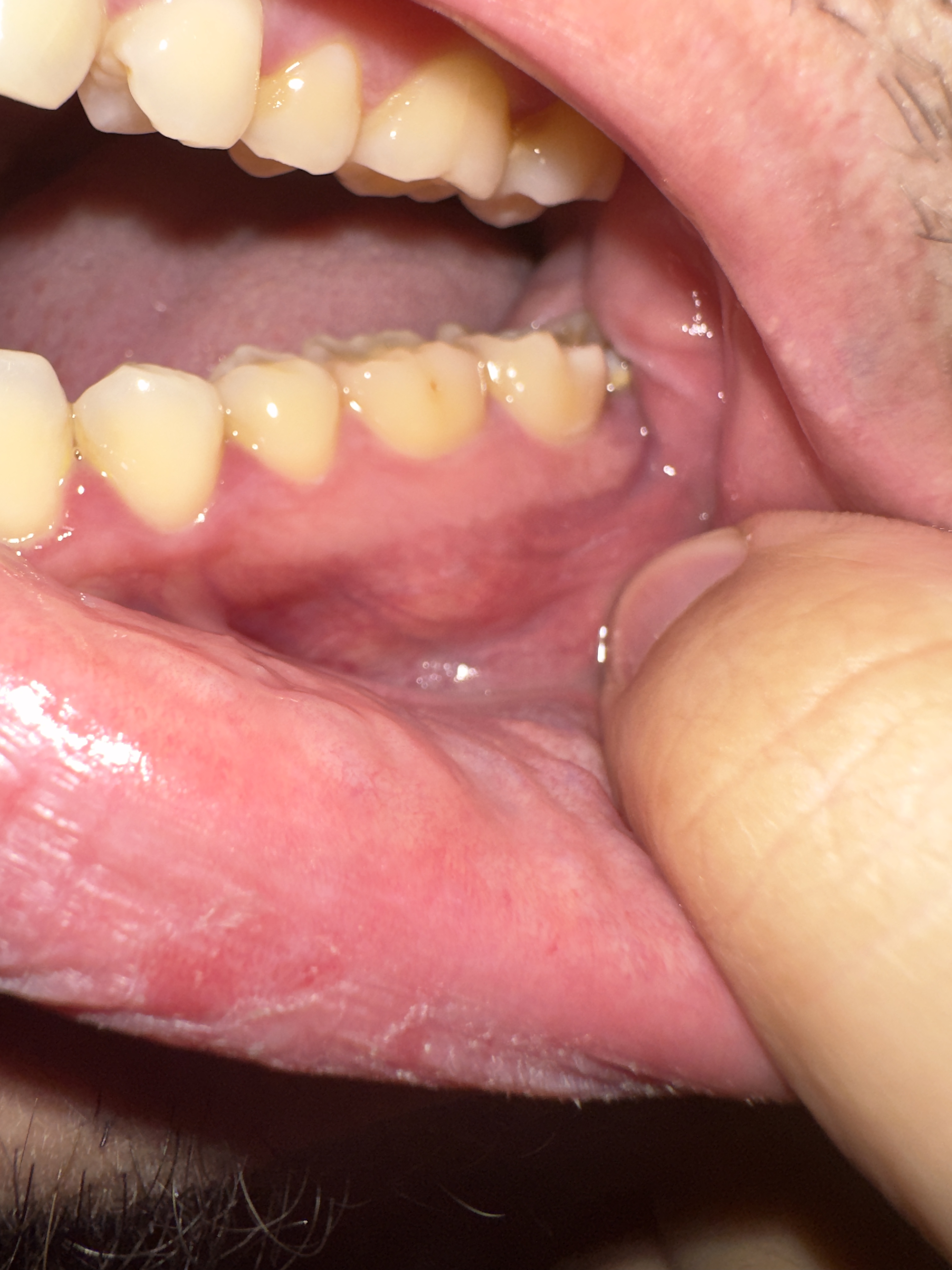
Ik heb hard pijnloze bultje bij mijn tandvlees bij de kaak.. Ik vroeg mij af wat het kan zijn..
abces of cyste of onsteking..?
zie ik meerendeels op internet voorbij komen.
Ben al een hele lange tijd niet naar de tandarts geweest omdat ik nogal bang ben voor de tandarts, wat vroeger eigenlijk niet zo was..
Met vriendelijke groet!
Hierbij de foto's
En het voelt ook mega hard…
lijkt wel alsof het bot is ofzo?
Verder totaal geen last van gehad of in het verleden..
Zou misschien een ontsteking…