Lastig gevoel

Author:
PL1995
Posted:
vr, 04/11/2025 - 16:29
Hallo,

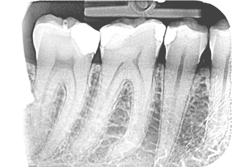
Vorig jaar heb ik een diepe vulling gekregen voor een van mijn kiezen. Na 10 dagen hevige pijn, is deze weggetrokken en is de situatie genormaliseerd. 1 jaar later heb ik nu een lastig gevoel aan deze tand. Ik ben net naar de tandarts geweest en die ziet niets op de foto, zie bijlage. De tand deed ook geen pijn toen hij er tegen tikte. Enkel koude was zeer gevoelig en pijnlijk, maar die pijn trok direct weg. Het gevoel blijft echter aanhouden. Bij het poetsen is de tand bij momenten ook gevoelig.

Wat zou er dan kunnen mis zijn?
Attach
Tandarts_Richa…

Ik zou nog een extra x-foto v d wortelpunt v d achterste kies willen zien. Mogelijk afwijking ontstaan door het afsterven v d zenuw. Indien zo een wortelkanaal behandeling laten uitvoeren. Is dat ook de kies waar u last v heeft...???..dan wkb. Een na achterste kies heeft een :diepe" vulling" waardoor de zenuw is teruggetrokken, zenuwkamer lijkt gecalcificeerd. Mogelijk is deze zenuw afgestorven. Vitaliteit testen..
vr, 04/11/2025 - 21:51 Permalink
PL1995

Gaat over de een na achterste tand. Hoe kan je de vitaliteit dan juist testen?
Als de zenuw is afgestorven, is het dan normaal dat die pijn doet bij het poetsen?

En bijkomend, als de zenuw is afgestorven, is een wkb dan nog pijnlijk?
za, 04/12/2025 - 02:22 Permalink
Tandarts_Richa…

Een wkb hoeft niet pijnlijk te zijn. Daar is een verdoving voor. Maar soms wacht men te lang waardoor de verdoving , door de ontsteking, niet goed werkt. De zenuw doet geen pijn het iis de weefsel om de wortelpunt dat pijn doet.
Er zijn meerdere kanalen, dat maakt het moeilijk want een kan afgestorven zijn en de ander niet waardoor wij tegengestelde signalen krijgen. Vitaliteit kan getest worden met warmte/koude, stroomstootjes of in het laatste geval proef boren.
En als de klachten aanhouden dan soms de beslissing om dan toch maar een wkb uit te voeren. Allemaal afhankelijk v uw ongemak.
Ik zou toch eerst een tweede x-foto v dat gebied willen hebben om te vergelijken.
za, 04/12/2025 - 08:55 Permalink
PL1995

Ok, wel de tand reageerde in ieder geval wel op koude, dat heeft de tandarts geprobeerd. Maar de korte pijnscheut trok direct weg en bleef niet nazinderen, wat volgens hem een goed teken was voor de zenuw. Hij gokte erop dat er mogelijk wat ontstoken tandvlees was rond de tand en dat het ambetante gevoel veroorzaakte.
za, 04/12/2025 - 12:02 Permalink
Tandarts_Richa…

Als u koude in de tand en niet het weefsel eromheen voelt betekent dat, dat de zenuw nog leeft en waarschijnlijk nog geen wkb nodig heeft. Toen dat getest werd herkende u het plaats delict?? oftewel dat is de kies waar ik ongemak v heb. Want het ongemak kan ook uitstralen v d achterste kies...daarom zou ik een tweede foto willen en dat element ook testen. Wil niet negatief zijn maar ik opperde de mogelijkheid dat mogelijk een v d 3/4 kanalen afgestorven is en ongemak veroorzaakt terwijl u toch koude ervaart door de nog levende kanalen. Tja dat is dan heel moeilijk. Als u de kies die op koude reageert ook herkent als de plaats delict, zou ik bij aanhoudende klachten toch een wkb doen.
za, 04/12/2025 - 15:02 Permalink