Hi
Kan iemand op basis van deze foto een objectieve mening geven wat ze zien. Ik krijg inconsistente informatie van tandartsen en het is moeilijk welke vervolgstap ik moet nemen.
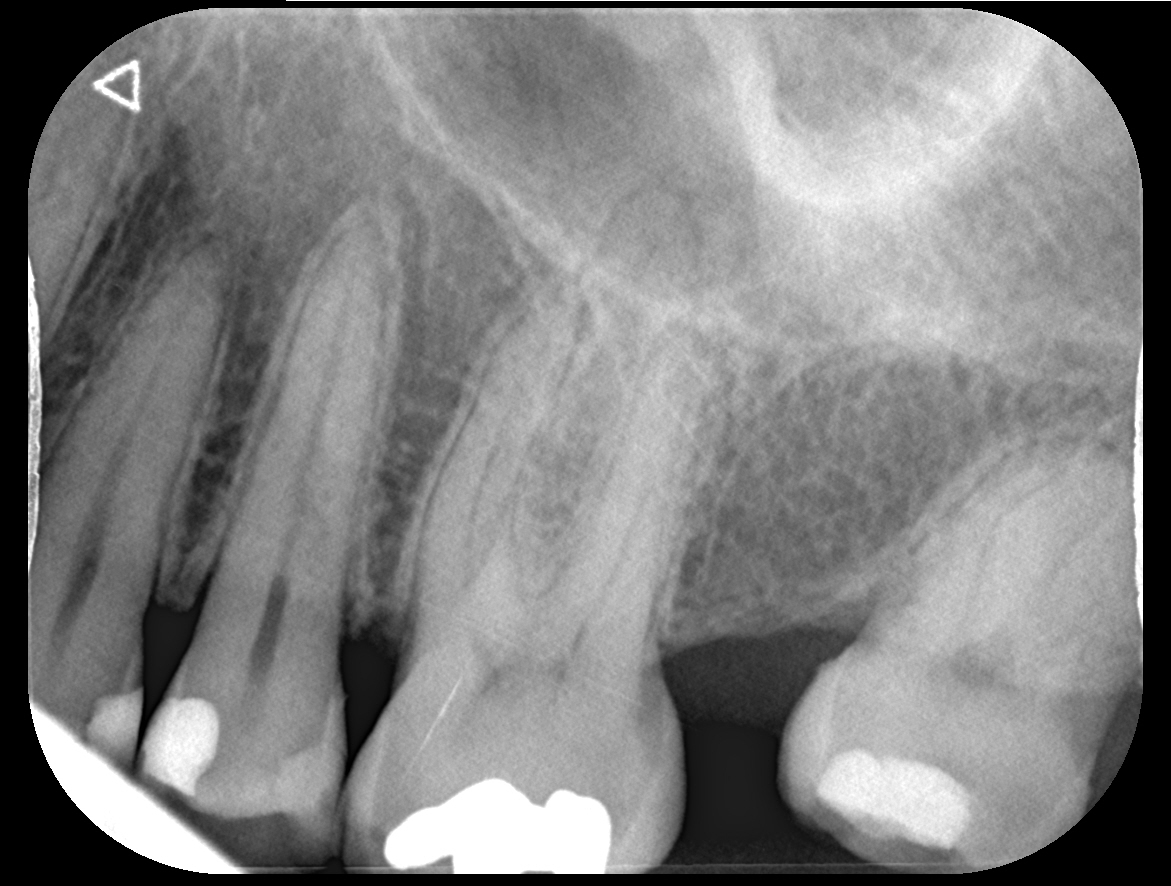
Initieel licht gevoelig aan kiezen. 1 maand. Koud alleen. Smeren tandpasta advies. Vorige week pijn. Diffuus moeilijk te pinpointen. Gevoelsmatige was het verstand kies. Daarna 6. Licht breuk lijn in 6 niet zichtbaar. Pijn 2 dagen. 1 dag diffuus kloppend. Koud test normaal. Foto gemaakt. Pijn trok weer weg. Geen wkb nodig. Afgelopen maandag test met bijt. 6 gevoelig met houten bijt test maar nog steeds geen beeld passend bij irreversible pulpitis. Tandarts vermoed sinus infectie op basis van deze foto. Gisteren en vandaag percussie gevoel weg na start behandeling neusspray. Pijn vandaag max. 1 tussen 1 en 10 2 tandartsen bekeken. Eentje niks over sinus andere wel. Helpt dit?
Om de sinus beter te bekijken zou ik een ander foto, een opt (panorama) willen hebben waarop de hele sinus te zien is en ook te vergelijken met de andere zijde. Op basis v deze foto is mogelijk een versluiering te zien maar zou dat zo niet in verband kunnen brengen met een sinusitis. Als u voorover buigt voelt u een klotsend gevoel in de neusholte.
Ik zie mogelijk een verbreed parodontaal spleet ( lijn tussen kies en tandvlees voor de leek) in de 25. Lijkt op een "diepe"vulling (dicht bij de zenuw)... hoe test de 25...Bij twijfel kan je eventueel proef boren zonder verdoving maar dat is niet altijd betrouwbaar. Knarst u??.
Tandarst vond de sluiering inderdaad een mogelijkheid, uiteraard niet definitief. Maar door koude test bijten op houten brokje zag hij niet echt een probleem met zenuw. k had wel sinus gerelateerde klachten. 2 a 3 weken geleden zware verkoudheid. Kreeg wel drukkend hoofdpijn. Klotsen gevoel neen, maar ik merkte wel druk gerelateerde perikelen maar negeerde ze. Focus was pijn :)
Ben leek; proef boren geeft wat als resultaat? Knarsen, ja bekend probleem....
Maar even voor mijn beeldvorming. Sensaties kwamen vanaf rechterkies (verstandskies)Plus die links ernaast. Element 25 is de 3e van links toch? Proefboren is een optie maar foto ondersteund geen ontsteking toch of mis ik nu iets ?
25, tweede kleine kies, verbreed parodontaal spleet. Mogelijk oorzaak v klachten. Soms straalt gevoeligheid door naar andere kiezen of zelfs naar de tegenovergestel kies in de onderkaak of visa versa.
Ah zo! Zo heb ik niet over nagedacht. Die kan die pijn en naar naar 26 en 28 kunnen veroorzaken? Helder. Ben vorige week maandag consistent met tandpasta repair van elmy begonnen en paar dagen erna pijn maar ook sinitus. Pijn is helemaal weg sinds eergisteren. Dus ik twijfel nu. Necrose of die spleet. Element 25 geen indicatie van Necrose?
Ja snap ik. Maar de element 26 was subjectief het probleem (licht druk, paar keer kloppend maar geen zware pijn) ondanks die spleet op element 25. Althans, daar kwam subjectief niet sensatie van vandaan. Wat is nu meestal handig? Beter start endo om onsteking te voorkomen of nog test of zenuw leeft? Wat is meestal wat u toepast? Ben eigenlijk wel benieuwd. U lijkt wat concreter dan de gemiddelde tandarts :)
Was iets te snel. Ik snap dat onsteking meestal later komt maar ik blijft maar verbazen dat het heel moeilijk te zien is op een foto. Het lijkt af en toe beetje trial on error.
Eerst testen, geen endo indien niet duidelijk, door bijv proefboren. Ontsteking geeft de klachten dus komt niet later. Foto geeft pas na maanden duidelijkheid en vaak ook niet. Maar testen kan idd trial and?? error zijn. Concreter?? probeer duidelijk te zijn.
Wat ik bedoel te zeggen is dat het soms heel erg moeilijk is om een diagnose te stellen dus zie je vaak “trial on error”. Ik lees bijvoorbeeld buitenland (oost Europa tegen vrij lage kosten snel cbtc om diagnostiek te stellen. Meer actieve behandeling)Met concreter bedoel ik proefboren. Eerste keer dat ik hoor dus vond ik het meer concreet dus actiever. Ik zit niet voor niks op dit forum.Proefboren ga ik voorstellen. Heeft dat nog nadelen ?
Enig nadeel is dat er ergens een "point of no return " is. Soms is er nog iets leven dieper. Dan gaan wij toch verder met de wkb. Dat kan ook zijn het bedekken met MTA. Tel de reis en verblijf kosten erbij dan is het buitenland toch inder aantrekkelijk en zeker als men nog een keer, bij complicaties, terug moet.
Eens. Voor wkb is buitenland idd niet te doen bedoelde meer voor implantaten. Wanneer er nog leven is wat impliceert dat? Ik bedoel herstel is dan toch niet mogelijk. Als je eenmaal opent. Trouwens doe jij het machinaal of nog met vijltjes ? En adviseer je daarna altijd kroon vanwege broosheid ?
Tegenwoordig kijken wij anders tegen de mogelijkheden aan. Amputaties/partiele amputaties, bedekken met bijv MTA etc etc. Herstellen niet maar bij goede procedure niet verder gaan. Vijltjes en machinaal. en idd ...of een knobbel overkapend vulling of een kroon. Mijn specialisme is kroon/brugwerk dus mijn voorkeur is.....vanwege het broos worden.
Uiteindelijk was ik in het buitenland en kreeg ik weer last. Uiteindelijk cbtc scans gedaan en microscopisch 4 kanalen. Was heftig lang. Geen verticale fracturen gevonden maar wel gevuld met glasvezel stiften. Dame werkte bij alldent in Frankfurt. Kroon vond ze met huidige stand niet nodig maar goed. Even je objectieve mening wat vindt je er van?. Ze was extreem secuur. Napijn wel met bijten maar was vanwege grote behandeling gebruikelijk. Kan nog even zeuren. Laesie was minimaal volgens haar.
Ja die indruk kreeg ik ook. Nu inderdaad afwachten. Was is hier nu meestal het proces wanneer je zegt afwachten. Ontsteking moet minder worden etc? Op de foto vond ze die minimaal maar de pulpa was al langer afgestorven. Dat afwachten is het heel proces?
Foto was niet goed meegekomen
Wat was de reden v opname.
Initieel licht gevoelig aan…
Om de sinus beter te…
Ik zie mogelijk een verbreed parodontaal spleet ( lijn tussen kies en tandvlees voor de leek) in de 25. Lijkt op een "diepe"vulling (dicht bij de zenuw)... hoe test de 25...Bij twijfel kan je eventueel proef boren zonder verdoving maar dat is niet altijd betrouwbaar. Knarst u??.
Tandarst vond de sluiering…
Ben leek; proef boren geeft wat als resultaat? Knarsen, ja bekend probleem....
Sorry heb even gemarkeerd…
Oh wacht! Element 25! Dat is…
Proefboren zonder verdoving…
Maar even voor mijn…
25, tweede kleine kies, …
Ah zo! Zo heb ik niet over…
Ken je overigens een goede…
Helaas is ver wegistan voor…
De heer M.P.J.M. Vogels
Nieuweweg 95
8051 EC HATTEM Dit vind ik bij de vereniging Endodontologie. Maar ken hem niet
Dank Richard. Als laatste…
Mogelijk indicatie v necrose…
Ja snap ik. Maar de element…
Was iets te snel. Ik snap…
Eerst testen, geen endo…
Wat ik bedoel te zeggen is…
Enig nadeel is dat er ergens…
Eens. Voor wkb is buitenland…
Tegenwoordig kijken wij…
Uiteindelijk was ik in het…
ziet er netjes uit...nu…
Indruk
over een jaar controle x=foto