Pericoronitis Verstandskies

Author:
JaxTeller
Posted:
di, 12/23/2025 - 23:02
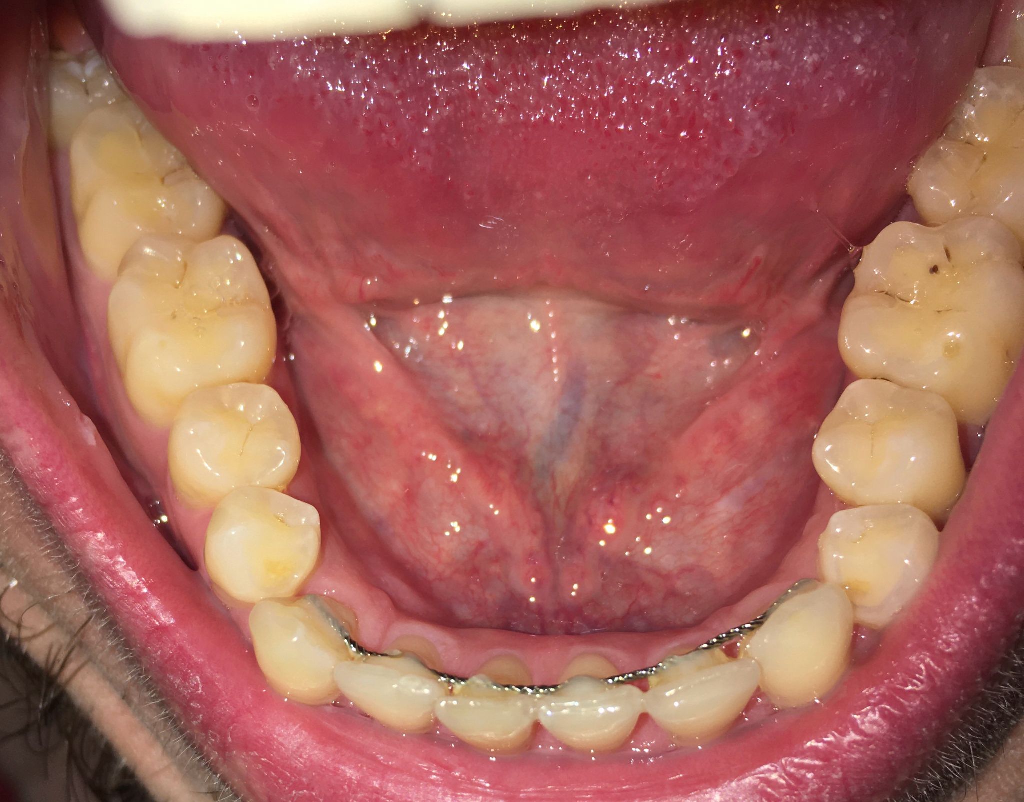
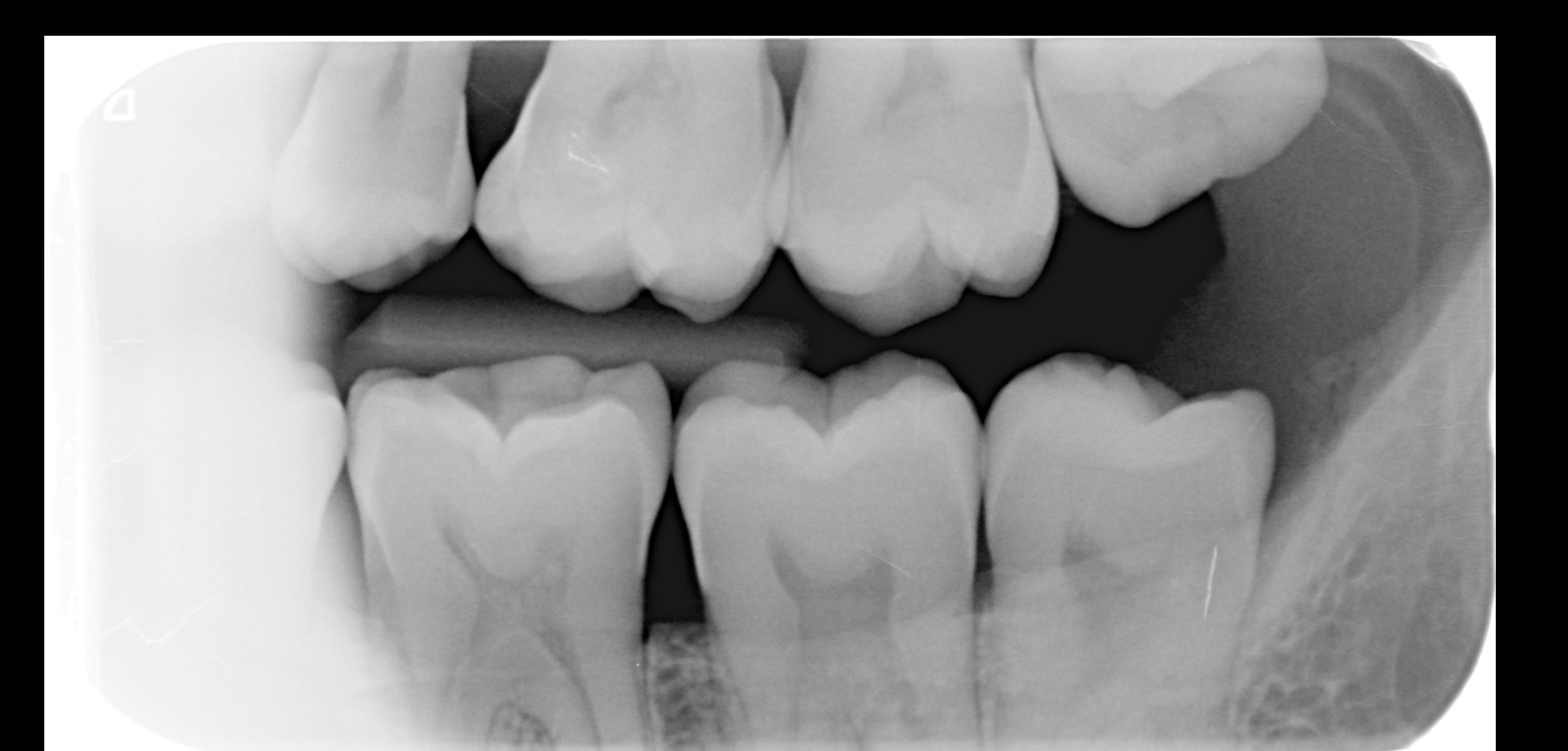
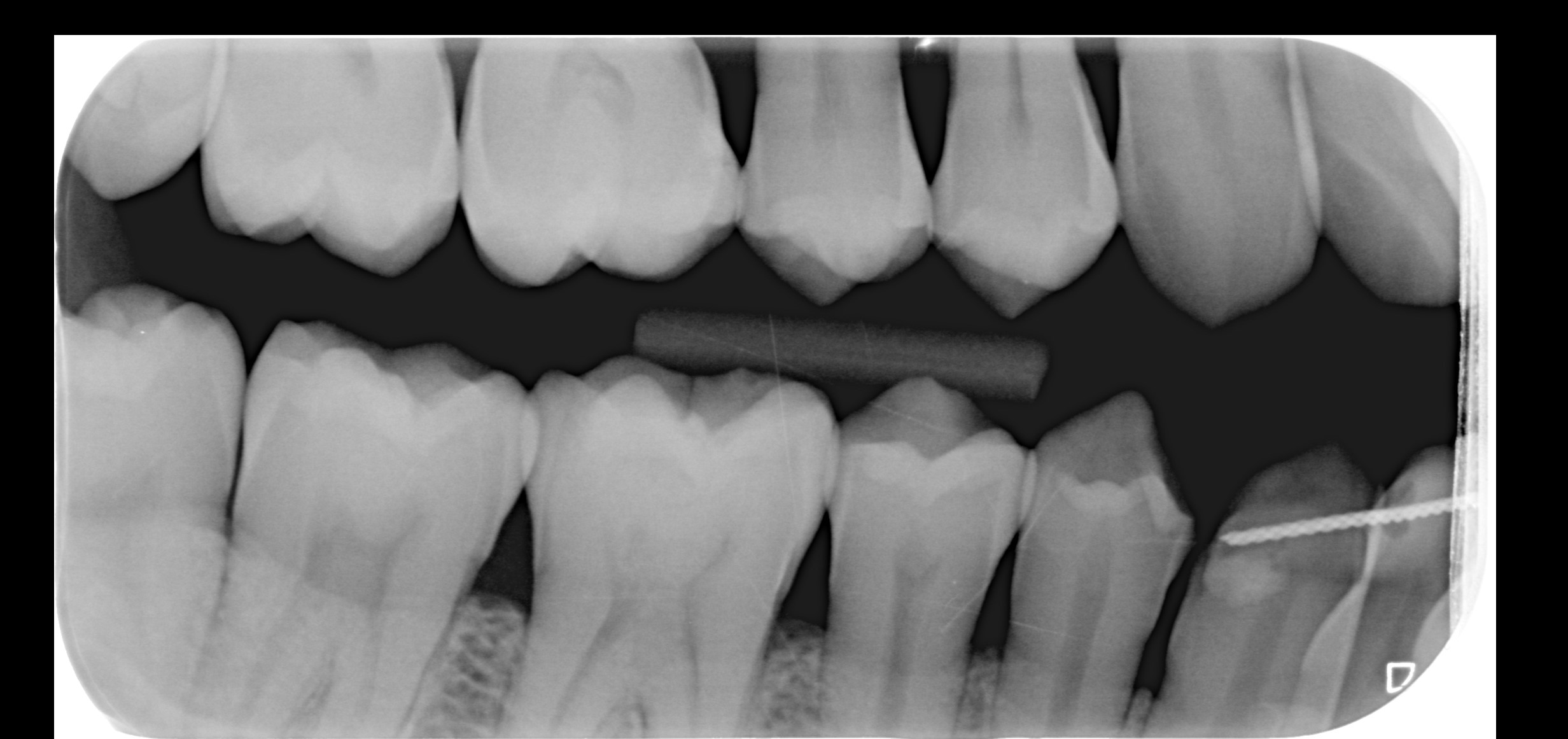
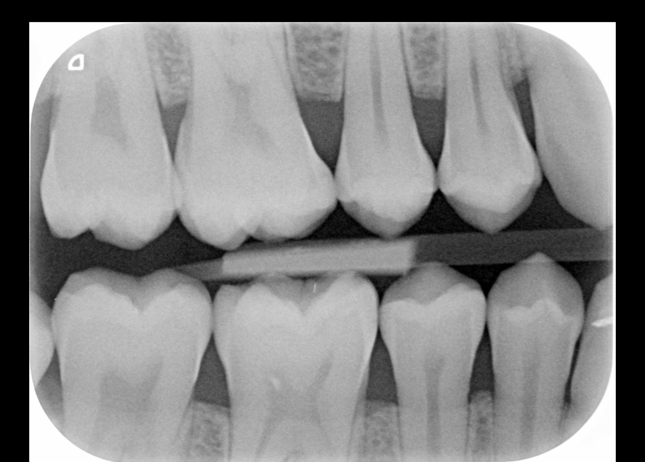
Heb al circa een week last van pericoronitis (wel vaker gehad). Deze keer duurt de genezing wat langer. Pijn is helemaal weg, maar het tandvlees daar is nog zacht en niet strak tegen de verstandskies. Foto 1 is hoe het nu is, zacht tandvlees, en foto 2 toen het gezond was waarbij het tandvlees strak is. Wanneer zal de zachtheid weggaan? Ik spoel al dagelijks met zoutwater. Ben ook van plan om in 2026 mijn verstandskiezen te verwijderen. Foto 3 en 4 zijn foto's van mijn verstandskiezen, heb alle 4 al meer dan 12 jaar niet laten trekken, maar denk dat ik het beter kan doen? Werd wel vaak gezegd tegen me dat het slim is om ze te laten trekken, maar ik ben altijd bang van zulke behandelingen.
Tandarts_Richa…

Ik zou ze laten verwijderen... Waarom wachten op weer een irritatie. Het ziet er niet verontrustend uit...goed schoon houden. Let ook op uw drink en eet gewoonten... Flink slitage. Of ander oorzaak??. Bot trekt ook iets omlaag..Ragers gebruiken bij ieder poets beurt....hoop dat u niet rookt.
wo, 12/24/2025 - 01:26 Permalink
JaxTeller

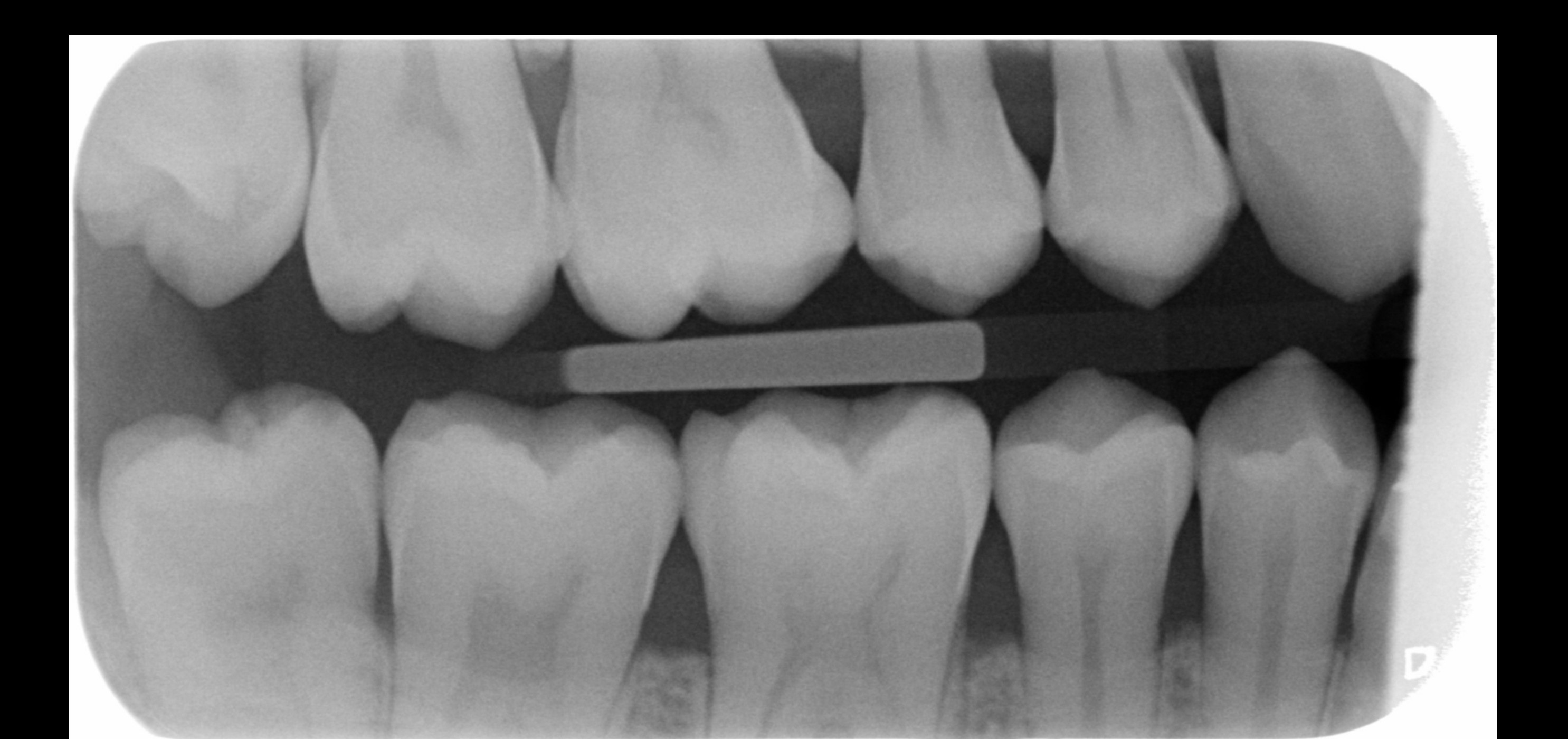
Ik had in april dit jaar al een vraag gesteld in dit forum over mijn mogelijke erosie, u gaf toen aan dat er enige slijtage was. Ik heb totaal geen idee hoe het kan zijn ontstaan, omdat ik mijn hele leven al zowat geen suikers of prik of zure dranken nuttig. Mijn tandartsen en mondhygienisten hebben er ook NOOIT wat over gezegd. Hierbij een foto van 2015 en 2025 onderkaak tanden. Ik zie in die 10 jaar geen verschil. Is het echt flinke slijtage of valt het mee? Wat betreft mijn botniveau, heb ik inderdaad te horen gekregen dat er sprake is van lichte botafbraak, ik gebruik nu elke dag ragers. Heb in het verleden ook een beugel gehad, zou dat ook voor veranderingen in het bot kunnen zorgen? x-fotos van mijn rechter kaak uit 2010 en eind 2024.
Attach
wo, 12/24/2025 - 13:41 Permalink
Tandarts_Richa…

Op grond v deze foto's moeilijk te zeggen maar lijkt meer.
Bovenste x-foto lijkt meer dan onderste foto maar kan ook aan de inschiet richting liggen.
Als tijdens de beugel beh niet goed gereinigd wordt dan kan dat gevolgen hebben maar bij goede behandeling niet door de beugel.
wo, 12/24/2025 - 18:46 Permalink
JaxTeller

Lijkt de erosie meer te zijn bedoel je? de tweede foto is iets warmer dan de eerste omdat het twee verschillende camera's zijn, maar ik zie persoonlijk geen verschil, hoop dat het in ieder geval gestopt is. En wat betreft de x-foto's, de tweede is recent en de eerste is van 14 jaar geleden. En wat betreft mijn pericoronitis, pijn is volledig weg, maar het tandvlees daar is nog zacht en niet strak tegen de verstandskies aan. Is dit een probleem en gaat dit nog over? Ga mijn verstandskiezen in 2026 wel verwijderen, maar wil wel weten of het een probleem is dat het tandvlees daar zacht is.
do, 12/25/2025 - 15:59 Permalink
JaxTeller

oke, maar toen (in april) gaf u aan dat u dat u vond dat ze gelijk zijn gebleven. (het ging om dezelfde foto's). Daarnaast gaf u aan dat het wel mee viel. Maar goed, hoop dat het daadwerkelijk meevalt en gelijk is gebleven, want mijn eetgewoontes zijn buitengewoon goed. Fijne feestdagen toegewenst.
do, 12/25/2025 - 20:16 Permalink
Tandarts_Richa…

Op zich ,als u geen problemen heeft, valt het mee.... maar dat zou in de mond goed beoordeeld moeten worden.
Ik had niet begrepen dat de foto's v uw tandvlees v April waren.. De tweede foto v uw verstandkies is de reden waarom ik de opmerking heb gemaakt.
vr, 12/26/2025 - 00:14 Permalink