Sprake van tanderosie?

Author:
JaxTeller
Posted:
ma, 04/21/2025 - 15:31
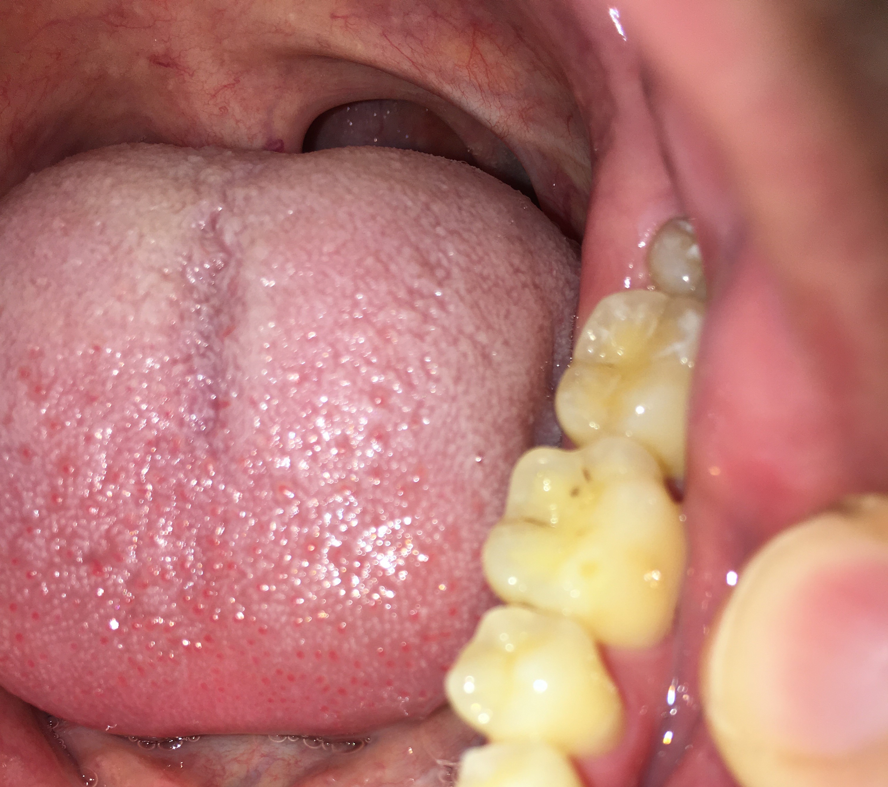
Ik zie dat de randen van mijn tanden en kiezen best doorzichtig zijn en las dat dit tanderosie kan zijn, daarnaast zie ik de dentine. Ik nuttig geen suikers of zuren dus ik begrijp niet waarom ik dit zou hebben. Daarnaast heeft de tandarts er nooit wat over gezegd. De eerste foto is van vandaag, de andere van 2015 (foto's van de boventanden). Als ik deze twee foto's vergelijk zie ik dat er geen verschil is en dat bij beide foto's evenveel doorzichtigheid en dentine te zien is.
De laatste foto is ook van vandaag, van de ondertanden. Moet ik me zorgen maken?
Attach
Tandarts_Richa…

Ook in uw tiener jaren niet veel frisdranken/ siroop gedronken?. Lijkt idd op enig slijtage maar zou mij nog geen zorgen maken. Ik maak een conclusie op basis van de, voor beoordeling v dit probleem, te onduidelijkefoto's. Vraag het uw tandarts bij de volgende controle.
ma, 04/21/2025 - 20:54 Permalink
JaxTeller

Nee, ook niet echt in mijn tienerjaren. Mijn tandarts of mondhygiënist hebben er nooit wat over gezegd, maar op andere (buitenlandse) online forums wordt door tandartsen gezegd dat er inderdaad sprake is van erosie. Ben een beetje geschrokken omdat ik geen frisdranken of koolzuurhoudende dranken nuttig. Als u zo naar de foto's kijkt, met name de eerste en tweede foto waar 10 jaar tussen zit. Zou je dan kunnen zeggen dat het gelijk is gebleven?
di, 04/22/2025 - 14:13 Permalink
Tandarts_Richa…

De tweede foto v d bovenkaak is niet duidelijk en voor de onderkaak is geen tweede vergelijking. Hoe is de PH v uw speeksel, wat eet u ...v zoveel factoren afhankelijk. Enige wat ik zie is dat u vrij doorzichtige tanden/kiezen heeft Dat hoeft niet negatief te zijn.
di, 04/22/2025 - 18:27 Permalink
JaxTeller

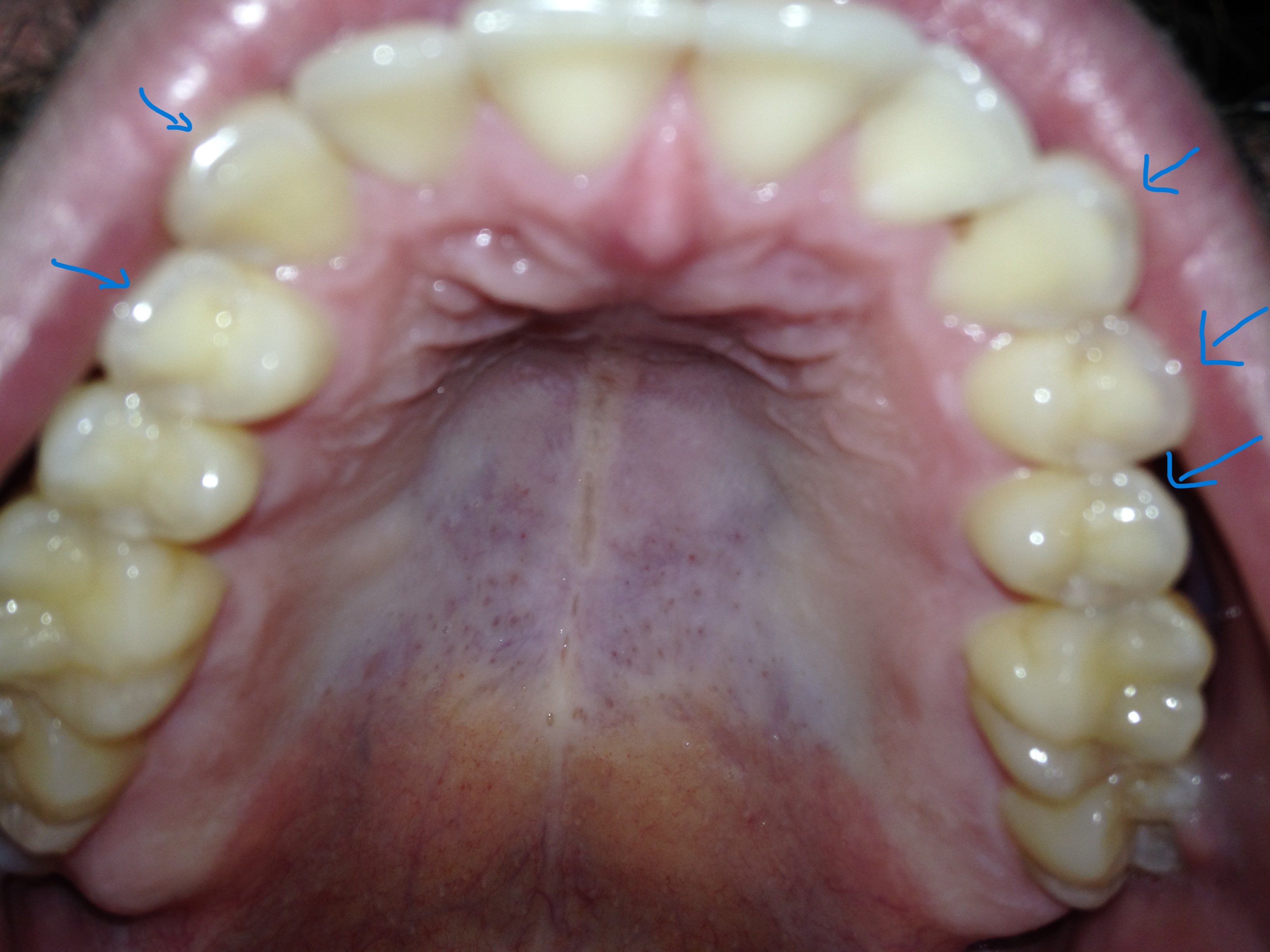
De tweede foto is inderdaad niet heel scherp, maar als je goed kijkt zie je dezelfde doorzichtigheid (heb een foto met pijltjes toegevoegd). Ik eet best gezond en mondhygiëne is ook best goed, ik vermijd suikers en drink voornamelijk water. Geen idee wat de PH is helaas, vind het ook apart dat mijn tandarts er nooit wat over heeft gezegd.

Hierbij 3 foto's van mijn onderkaak. De eerste foto is van mijn linker onderkaak van 2017, de tweede foto is van mijn rechter onderkaak van 2017 en de laatste foto is van 2015 van mijn gehele onderkaak. De foto van 2015 is met een andere telefoon genomen, hierdoor is de kleur en belichting wat anders, echter zie ik bij alle drie de foto's en de foto van 2025 de zelfde hoeveelheid doorzichtigheid.
Attach
wo, 04/23/2025 - 15:34 Permalink
JaxTeller

Enig idee waarom mijn tandarts er nooit wat over gezegd? Wat moet ik nu doen als dit erger wordt. Ik eet wel elke dag kwark, en kwark heeft een ph waarde van 4-5, dus misschien is dat het? Wat kan ik de volgende keer tegen mijn tandarts zeggen.
do, 04/24/2025 - 13:03 Permalink
Tandarts_Richa…

Misschien heeft u niet specifiek naar gevraagd of klacht aangegeven. Misschien, in de mond beoordeeld, niet erg genoeg voor alarm bellen?????......
Zorg dat er niet meer dan 6 momenten v invloed op het gebit is per dag. Ontbijt, lunch, avondeten...etc. Dit in combinatie met goede verzorging v h gebit. Maar vraag het volgende keer.
do, 04/24/2025 - 21:25 Permalink
JaxTeller

Klopt, ik heb er nooit wat over gezegd omdat ik niet wist dat er sprake kon zijn van erosie, daarnaast ervaar ik helemaal geen klachten.. Kan het met goede mondverzorging jarenlang blijven zoals het nu is? Zou niet willen dat ik straks geen glazuur meer heb.
vr, 04/25/2025 - 14:28 Permalink
JaxTeller

Nee inderdaad, zoals ik in het begin zei nuttig ik geen frisdranken of dranken met koolzuur. Ik drink alleen maar water. Als het zo kan blijven ben ik tevreden. Hoop dat het niet erger wordt, en als ik de foto's vergelijk hoop ik dat het ook gewoon hetzelfde is gebleven.
za, 04/26/2025 - 13:29 Permalink
JaxTeller

En wanneer vermoeden tandartsen dat het bijvoorbeeld om een refluxziekte (brandend maagzuur) gaat? Ik heb hier geen last van, maar er wordt online gezegd dat dit soms in de nacht kan gebeuren zonder dat je t weet, waardoor er erosie bij de tanden kan optreden.
za, 04/26/2025 - 13:31 Permalink