Wortelkanaalbehandeling of tand trekken

Author:
CUPI-DS
Posted:
zo, 01/25/2026 - 11:21
Wie kan mij helpen. Na lang uitstellen heb ik toch maar een afspraak gemaakt bij de kaakchirurg ingepland om mijn verstandskies eruit te halen die dwars ligt. (23 februari) De kiest daarnaast blijft staan en in de andere kies die daar naast staat zou een ontsteking zitten in de wortelpunt. Ik schrok heel erg van de kosten dus twijfel nu wat te doen. Of een wortelkanaalbehandeling of door de vele vullingen die al in deze tand zitten deze ook maar te trekken. Ik ben erg onzeker over mijn gebit door alle vullingen die ik heb in met name de kiezen. Aan de andere kant van mijn gebit is namelijk ook al een kies getrokken omdat deze gewoon heel zwak was en constant afbrak.
Tandarts_Richa…

Ik moet het helaas vaak zeggen: wat wilt u met uw gebit???
Behouden of op termijn naar een kunstgebit.
Behouden kan ook gedeeltelijk met een gedeeltelijk vervanging bijvoorbeeld een frame prothese. Een gedeeltelijk plaat prothese gebruik ik meestal als tijdelijk noodvoorziening.
In mijn vak het duurste is het lekkerste. En Rome is niet in een keer gebouwd dus vaak kunnen de kosten over een paar jaar uitgespreid worden. Bespreek een duidelijk plan/stappenplan met uw tandarts. Vaak kan ook gebruik gemaakt v fiscale aftrekposten.
Indien financieel mogelijk zou ik nooit naar een uitneembaar voorzieningen gaan.
In dit geval de verstand kies verwijderen. een wortelkanaalbehandeling in de eerste grote kies...en later een kroon omdat door de wkb de kies broos kan worden. Groot gevulde kiezen bekronen.. of anders laten gaan en vervangen door een uitneembare voorziening. Maar niet verwijderen zonder te vervangen.
zo, 01/25/2026 - 13:44 Permalink
CUPI-DS

Ik vind het nog te vroeg om te beoordelen of ik met een kunst gebit verder ga.
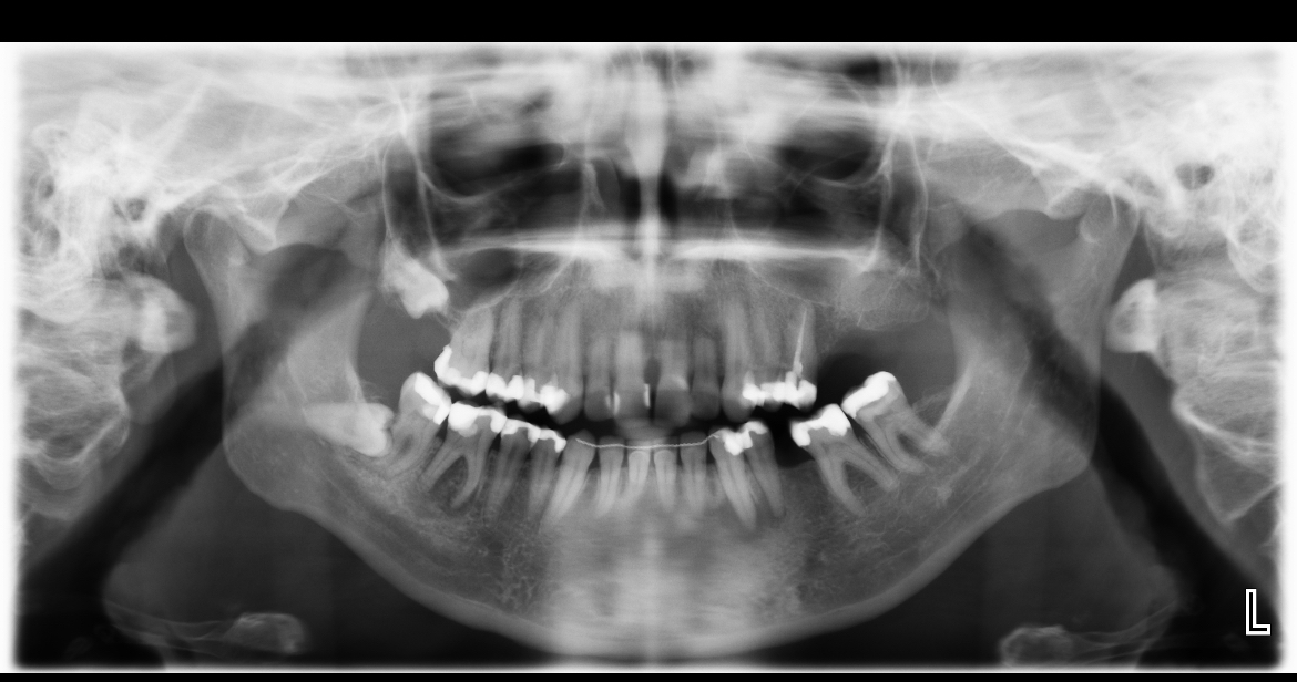
Ik hoop dat ik nog wel even met mijn tanden kan doen. Wat vind je op dit moment van de foto?

Je zou dus wel een wortelkanaalbehandeling doen ipv trekken (de eerste kies)
Zie je een grote ontsteking? Of kan dit nog behandeld worden met een antibiotica kuur.
Nu heb ik namelijk geen pijn, dus vind t gek dat ik er weinig van voel.
zo, 01/25/2026 - 19:48 Permalink
Tandarts_Richa…

Verstand kies verwijderen, wkb 46 ( eerste grote kies flinke ontsteking niet met AB kuur goed te krijgen) later kroon ( als u kiest voor behoud met vaste voorzieningen).....
Het lichaam waarschuwt helaas niet voor ontstekingen. Maar niet mee blijven lopen.
Maar een wkb heeft geen zin als u toch naar een uitneembare voorziening gaat !!!!daarom eerst een duidelijk plan voor de toekomst. Anders gaat u behandelingen/kosten uitvoeren die later misschien.niet in het geheel v gekozen plan zou kunnen passen.
U kunt niet vroeg genoeg beoordelen wat u met uw gebit wil. Of trekken en naar uitneembaar of misschien behoud voor vast.. en nog vele combinatie mogelijkheden afhankelijk v d staat v h restgebit.
zo, 01/25/2026 - 21:18 Permalink
CUPI-DS

Ik kan echt geen kroon/implantaat betalen.
Dus dat zit we voorlopig echt niet in. En zie ik dus nu ook niet als geen oplossing.
Ben blij dat ik de maand door kom in mijn eentje en deze vreselijke dure wortelkanaalbehandeling misschien net kan betalen.
Mijn eigen tandarts doet ook alsof het allemaal niks kost voor iemand. Vind mijn tanden heel belangrijk dus zal t wel er voor over hebben. Maar snap nooit hoe een mens deze kosten allemaal kan opbrengen.
Je bent meteen over je budget heen en eventuele controles of pijn die erna komt valt allemaal er al buiten.
en wil dus die ontsteking weg hebben.
dus dan is het of een wortelkanaalbehandeling in een slechte kies, of gewoon de tand eruit halen wat goedkoper is en je bent van al het gezeur af.
Een wortelkanaalbehandeling voor
Misschien 5 jaar heeft ook weinig zin.
di, 01/27/2026 - 22:30 Permalink
Tandarts_Richa…

Een wkb behandelde kies kan heeeel lang meegaan mits goed uitgevoerd (knobbel overkappend vulling of kroon) en geen complicaties.
Wat u zich niet kunt veroorloven moet u niet kiezen. Kies beter voor een goedkopere wel financieel haalbare oplossing voor de toekomst. Bespreek dat met uw tandarts.
Wie de kosten niet zelf kan dragen adviseer ik, indien men een zwakker gebit heeft, een uitgebreidere verzekering te nemen. Kost wat meer maar de eigen risico is dan minder. Zie het als een gespreide betaling.
Mijn advies: als vast niet haalbaar dan een frame prothese. Verwijder de zwakke schakels en behoud de strategisch noodzakelijke elementen voor de houvast v d frame prothese. Dat wordt een kosten post waar u voor , indien mogelijk, kunt sparen en zodra gespaard uit kan laten voeren.
Anders blijft u aanmodderen en tegen kosten aanlopen. en uiteindelijk, na verloop v jaren, met een kunstgebit verder moet.
di, 01/27/2026 - 23:02 Permalink