Tandvlees flapje bij verstandskies

Author:
Taylorm
Posted:
vr, 01/23/2026 - 15:36
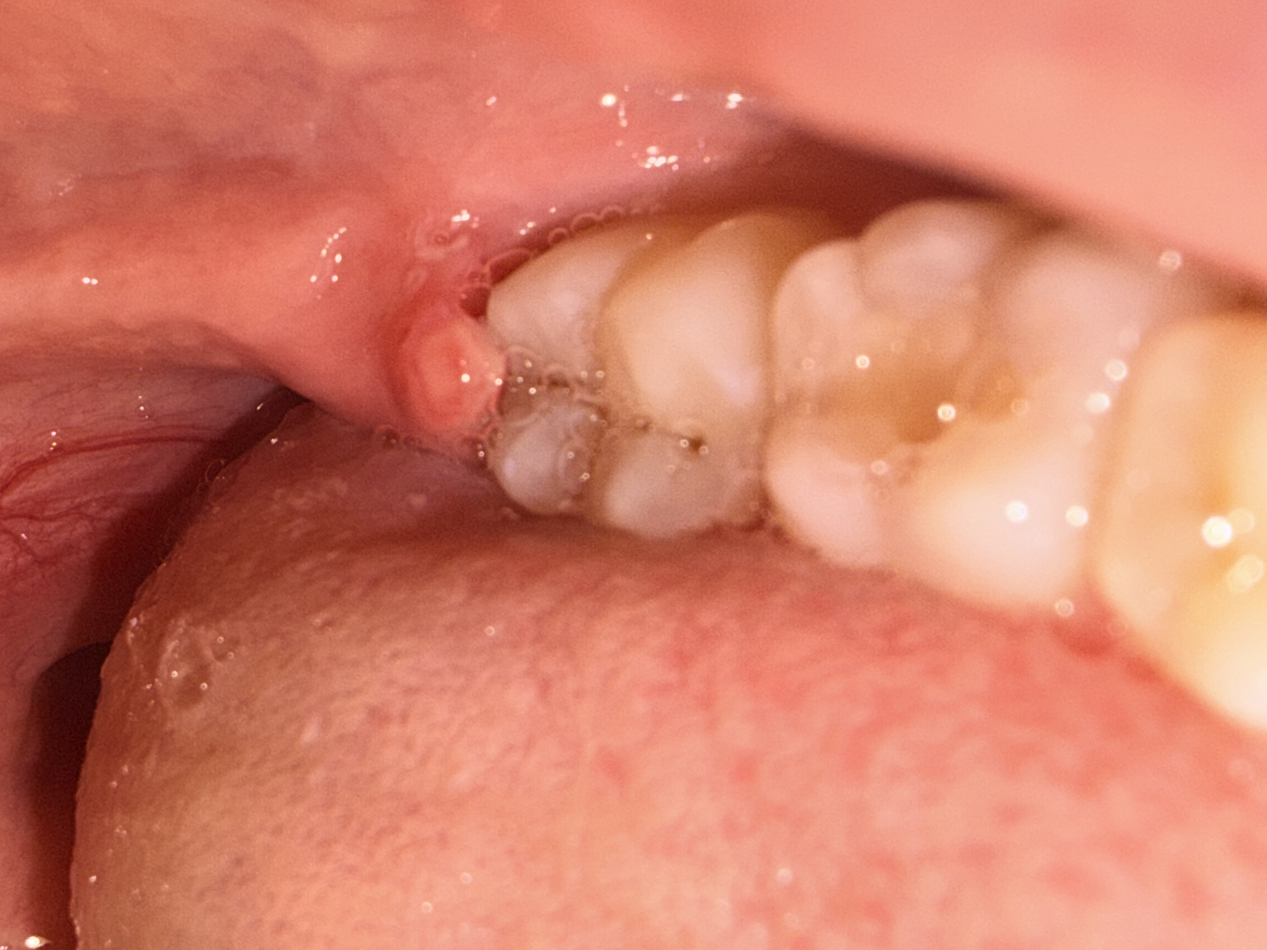
Het tandvlees bij mijn verstandskies komt los en begint steeds te ontsteken. Ik moet volgende maand mijn verstandskiezen laten en trekken en dan moet het verholpen zijn zegt mijn tandarts. Normaal word het flapje rood en opgezwollen en na 3 a 4 dagen is het weer hersteld als ik perio aid gebruik. Nu heb ik er al een week last van en begint het flapje er ook raar uit te zien. Nu zit er iets wits omheen en gister was het knalrood. Ik weet niet zo goed wat ik ermee aan moet, het doet namelijk ook best veel pijn. Mijn eigen tandarts is op vakantie en de vervangende zit helemaal vol, vandaar dat ik de vraag hier maar stel. (De foto’s staan als het goed is met de eerste maandag tot vandaag de laatste foto)
Tandarts_Richa…

Geod schoon houden ondanks de gevoeligheid. Ik heb een operculum tangetje...een soort knijptan die ik eronder kan schuiven en knip geen probleem meer. Kan ook weg gesneden worden eventueel onder verdoving. En anders goed schoon houden/spoelen
vr, 01/23/2026 - 16:26 Permalink