Wortelresorptie / oplossen van de wortel

Author:
itsstef
Posted:
ma, 11/14/2016 - 23:38
Hallo forum,

Na meer dan 3 maanden te kampen met klachten ziet mijn tandarts een klein verschil tussen 2 gemaakte röntgenfoto's (met een maand ertussen).
Het verschil ziet hij aan de zijkant van de tand onder het tandvlees voor zover ik het begreep.
Hij zegt dat hij twijfelt over wortelresorptie (oplossen van de wortel) en wil me graag terugzien over een maand.
Het plan is als vervolgfoto's bevestiging geven een wortelkanaalbehandeling uit te voeren.

De tandarts vertelde dat hij de tand sowieso niet ging trekken, maar dat het oplossen van de wortel moeilijk doelgericht te behandelen is.
Ik heb niet een compleet plaatje kunnen maken van de exacte stand van zaken en daarom hierbij een paar vragen:
In omstandigheid van wortelresorptie ->
1) Is het oplossen te stoppen / kan het oplossen stoppen?
2) Zal de tand uiteindelijk uitvallen?
3) Kan dit de doffe pijn verklaren in mijn tand en zo ja is het mogelijk om dit te behandelen / is het mogelijk dat dit wegtrekt?
(Ter verduidelijking: dit zal het gevolg zijn van een harde klap op de tand waardoor ook een stukje glazuur is afgebroken)

Ik zou een reactie erg waarderen (ook al is het maar op 1 van de vragen), ik zie vaak dat velen de topic lezen maar tot mijn spijt nooit een reactie.

Met vriendelijke groeten,
Stef
Grappa

Als de foto's en het klinisch beeld de diagnose externe wortelresorptienbevestigen dan is een wortelkanal behandeling zinloos.
Je geeft de mogelijke oorzaak, de klap, al aan. Een beugel is ook een mogelijke oorzaak, als je die in het verleden hebt gedragen. Helaas is er geen therapie en zal afhankelijk van de snelheid waarmee de resorptie verloopt de tand mogelijk verloren gaan in de toekomst. Dat is overigens niet altijd het geval wanneer een beugel de waarschijnlijke oorzaak is geweest.
di, 11/15/2016 - 21:15 Permalink
itsstef

Als antwoord op door Grappa

Om te beginnen bedankt voor uw reactie.
Er is geen twijfel bij dat het gevolg is van een klap aangezien ik letterlijk pijn heb en er pas verandering in het röntgenbeeld te zien is sinds die klap.
Ik heb overigens nooit een beugel gehad, maar hoezo zit er zo'n groot verschil tussen resorptie na een beugel en na een klap?
U zegt dat de tand mogelijk verloren kan gaan in de toekomst, maar wat moet ik me hierbij voorstellen, bijna altijd / meestal / af en toe?
Ik heb me al enigszinds voorbereid op het mogelijk verliezen van de tand aangezien het me al niet lekker lag vanaf het begin,
maar mijn tandarts geeft dus aan dat trekken sowieso momenteel niet de juiste optie is.
Afgezien daarvan blijf ik tot zover nogsteeds met pijn lopen bij druk op de (mogelijk door resorptie) aangedane plek die halverwege de voorkant
van het tandvlees ligt, zou ik dan dus de tand moeten trekken om hier vanaf te komen?
wo, 11/16/2016 - 00:44 Permalink
Selinaax

Als antwoord op door itsstef

Hi,

Hoe is het ondertussen verlopen bij je tand?

Een jaar geleden heb ik namelijk (met heel veel moeite) mijn hoektand moeten laten trekken omdat m’n lichaam m’n eigen tandwortel weghaalde.

Zojuist thuis van de tandarts waar zij nieuwe foto’s hebben gemaakt. Nu blijkt hetzelfde te gebeuren bij 5 kiezen. Ik heb geen beugel gehad en ben ook niet als kind op mijn tanden gevallen. Ik kan echt heel weinig informatie vinden op internet vandaar dat ik hier even reageer. Ik heb enkel als kind de ziekte van Lyme gehad maar ook hier kan ik niets over vinden op internet met betrekking op deze situatie.

Is er iemand die hier meer over weet? Hoe kan ik ervoor zorgen dat het niet erger wordt?

Hoop op een reactie!
vr, 01/18/2019 - 12:24 Permalink
sop

Als antwoord op door Selinaax

Hallo,

Ik heb vorig jaar een tand moeten laten trekken omdat er interne resorptie is opgetreden. Tandarts zegt dit komt weinig voor maar ik dacht oke, kan gebeuren. Maar nu heb ik hetzelfde voor in een andere kies aan dezelfde zijde en tandarts vond dit heel raar maar kan geen verklaring vinden. Als het ware worden je tanden opgegeten zonder reden. Ik heb ook wel sinds 2 jaar last van maagproblematiek. Snel vol gevoel, misselijkheid, niet veel kunnen eten en vermagering ongewenst. Nu vind ik het vreemd dat zowel de maag als tanden op zelfde periode zijn begonnen. Kan dit een soort auto immuunreactie zijn? Heeft iemand hier nog ervaring mee? Weet iemand een mogelijke verklaring?
Ben bang dat dit nog bij andere tanden zal gebeuren en wil dit toch best vermijden

Alvast bedankt

Sop
di, 06/02/2020 - 12:33 Permalink
tingobop

Beste Tandartsen. ik heb een kies die 10 jaar gelden een wkb heeft gehad bij een endodontoloog nog.
de kies was altijd nog wat gevoelig zwakke kies maar met kauwen geen problemen.

meestal kreeg ik last in het voorjaar van kiespijn .en de tandarts maar foto's maken en zag jaren niks. nu een week geleden ineens erge last van mijn kaak aan de kant waar de kies zich bevind. trok met steken in het voorhoofd ook had ik bloed in het neusgat aan de kant van de kies. het andere neusgat dus niet. .voelde mij echt niet lekker. leken wel aanvallen want daarna ging het telkens weer wat beter en zakte het weer. bij warm eten klaarde het vreemd genoeg helemaal op dat gaf verlichting. ik zit nu een week aan de Naproxen en het is nu weer stabiel. maar ik had weken ervoor al veel last van mijn buik gehad. ineens ook pijnsteken in de buikstreek en maag. wist niet waardoor dacht misschien een virus ofzo en dat het dan nu overgesprongen was naar mijn kaak.. ben een keer een maand geleden naar de huisarts voor de buikklachten geweest . die dacht omdat ik melk dronk het daar aan lag maar bleek dus achteraf niet zo te zijn geen last meer van en drink gewoon elke dag mijn melk.


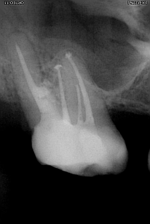
afijn vanmiddag naar de tandarts geweest en op de foto zag de tandarts ineens dan mijn wortel was opgelost. ze voelde ook met een haakje en had daar aan de achterkant wel wat diepe pockets. ze dacht aan een breuk in de wortel maar ik heb geen last met kauwen erop. alleen als ik met mijn tong op het kaakbot achter de kies druk dan voel ik wat. .

ik heb even een foto erbij voor Tandarts Richard .wat kunt u concluderen aan de hand van deze foto?
Attach
ma, 11/10/2025 - 20:02 Permalink
Tandarts_Richa…

idd lijkt op wortel resorptie. Element is helaas verloren. Oppassen voor mogelijke Antrum perforatie ( verbinding met neusholte) met verwijderen aangezien bot erg dun lijkt. Weet niet hoe de rest v h gebit eruit ziet.. maar nadenken over vervanging.
ma, 11/10/2025 - 23:13 Permalink
tingobop

Nou lekker allemaal dan zeg! moet ik dan nog een operatie ook?

Ik heb nog meerdere kiezen die een wkb hebben gehad in die tijd. ivm aanhoudende pijnklachten toen de tijd 10 jaar geleden waar ik niet wist waar het allemaal vandaan kwam hebben ze steeds bij de verkeerde elementen de zenuwen eruit zitten halen. dan achteraf zeggen Nee dit was het toch niet. ik weet niet hoe het met de rest van mijn gebit nu is omdat de tandarts alleen maar bitewing foto's maakt en niet van de wortels. deze wilde ze eerst ook niet maken omdat ze naar haar zeggen nooit niks zag maar het was al 2 jaar geleden dat de laatste wortel foto van deze kies was gemaakt. het lijkt zo op de foto dat de wortel helemaal door midden is. dit kan ik mij eigenlijk niet voorstellen omdat er op kan kauwen zonder pijn? waarom is dat dan? en klopt de foto dan wel? kan ik voor second opinion naar een andere tandarts voor nog een foto?

maar wat bedoeld u met nadenken over vervanging?
ma, 11/10/2025 - 23:31 Permalink
Tandarts_Richa…

Dit is voor mij over duidelijk...sorry. Helaas waarschuwt het lichaam niet altijd gelijk als er iets mis is.
Met nadenken over vervanging bedoel ik ..hoe gaat u de verloren kauwfunctie opvangen...de mogelijkheden afhankelijk v rest gebit. Maak een uitgebreid behandel/stappen plan voor de toekomst v uw gebit/kauwvermogen. Laat een panorama foto maken. Daar staan alle wortelpunten op. Bij twijfel nog extra kleine foto. ( hier posten zonder naam vermelding geef ik mijn mening)
di, 11/11/2025 - 00:27 Permalink
tingobop

Ok helder bedankt.

Ik had het met mijn tandarts al over het plaatsen van een implantaat gehad. dit wilde ik eigenlijk 10 jaar geleden al toen ik last van deze kies had maar toch naar een endodontoloog ben gegaan voor herbehandeling nadat mijn tandarts de wortel perforeerde bij her behandeling omdat hij deze maar voor de helft gevuld had met kanaalvulling. de wortel die nu dus aan het verdwijnen is. ik weet niet hoe dit verdwijnen komt na 10 jaar maar weet wel dat de boor tijdens de het perforeren destijds met een klap vastsloeg in deze wortel. kan dat er iets mee te maken hebben?? maar waarom dan pas 10 jaar later vraag ik mij af? of is dit een proces van 10 jaar? de endodontoloog heeft de perforatie toen met MTA gedicht. ze was erg positief erover.

dat ter zijde ben ik toen dus al eens naar een kaakchirurg geweest met deze kies en die wilde toen gelijk kunstbot plaatsen bij het trekken van de kies.

mijn tandarts zegt nu juist dat eerst de kies getrokken moet worden en dan pas later als het gat dicht is bekeken kan worden of er genoeg kaakbot is. ik verschil echter van mening omdat de kaakchirurg destijds het anders uitlegde aan mij.

ook op internet stelde ik de vraag en kreeg antwoord dat ze gelijk een implantaat kunnen zetten met het trekken van de kies. dit heb ik dan ook liever eigenlijk. ik heb in de onderkaak andere kant ook al een implantaat met kroon .zit er ook al 10 jaar en en ben er erg tevreden mee.

dit was ook nog een dingetje toen. de tandarts zij dat ik 6 maanden moest wachten omdat er eerst jong bot moest aangroeien voordat de implantaat erin kon. gelukkig was ik 2 maanden erna bij de kaakchirurg toevallig voor iets anders en had ik het erover. de kaakchirurg vond dit maar een vreemd verhaal en grote onzin. ze zei dat we snel moesten zijn omdat er anders geen bot genoeg meer was en heb de implantaat toen zo snel mogelijk laten zetten. er kon toen gelukkig nog een implantaat in van 3,3mm voor een grote achterste kies. dat was even een foto van de zenuwen maken en gaatje in het bot boren en erin draaien. vast laten groeien en kroon erop.

klopt trouwens deze AI uitleg op mijn vraag van internet trouwens?

Ja, de tandarts kan het kaakbot voor een implantaat van tevoren beoordelen, ook al zit de kies er nog in. Dit gebeurt via röntgenfoto's (zoals een panoramische foto) en soms een 3D-scan, die gedetailleerde informatie geven over de botdichtheid en -kwaliteit. Als er onvoldoende bot is, kan een botopbouw nodig zijn, eventueel met eigen bot of kunstbot.
Hoe de beoordeling plaatsvindt
Röntgenfoto's: Een panoramische röntgenfoto geeft een goed overzicht van de gehele kaak en kan de tandarts helpen de geschiktheid voor een implantaat in te schatten.
3D-scan: Vaak wordt een gedetailleerdere 3D-scan gemaakt om een precies beeld te krijgen van de hoeveelheid en kwaliteit van het kaakbot.
Mondgezondheid: Naast het kaakbot wordt ook de rest van het gebit, het tandvlees en de algemene gezondheid beoordeeld.
Wat gebeurt er bij bottekort?
Botopbouw: Als er onvoldoende kaakbot is, kan dit worden aangevuld met een bottransplantaat, zoals bot uit de kin of bekkenkam, of met kunstbot.
Tijdlijn: Het plaatsen van het implantaat kan soms direct na het trekken van de kies gebeuren, maar bij een botopbouw duurt het traject langer (vaak 4 tot 6 maanden) voordat de implantaten geplaatst kunnen worden.
Esthetiek: Bij tanden of kiezen met een belangrijke esthetische functie heeft een directe plaatsing van het implantaat de voorkeur, omdat het omringende bot en tandvlees dan niet slinken.
di, 11/11/2025 - 00:54 Permalink
Tandarts_Richa…

Er zijn verschillende wegen die naar Rome leiden. Ieder zijn eigen voorkeur afhankelijk v ervaring en kunnen. Geen foute weg alleen anders, afhankelijk v elke situatie.
Als ik de laatste foto bekijk dan zijn er een paar zaken die ik mij afvraag.
- Is er een totaal plan gemaakt voor herstel v h gebit. Beginnend bij de ophanging...uw bot verlies.
- Als een wkb gedaan wordt adviseer ik altijd een knobbel overkappend vulling of een kroon waarbij een kroon vaak mijn voorkeur heeft.
- Er zijn vele grote vullingen... zijn daar adviezen voor kronen gegeven.
- Bij de 36 is een advies impl gegeven om de verloren gegane ruimte op te vullen... hoe zit dat rechts boven..welk advies.
- resorptie (intern of extern) is niet altijd te voorkomen dus als daar een kroon was geplaatst was het misschien toch gebeurd,,,of was er een lekkage die in de loop der jaren groter is geworden.

Dit is een waarschijnlijk oude foto dus ben benieuwd hoe het er nu uitziet.
Allemaal vraagtekens. Daarom is een x-foto bibliotheek voor mij belangrijk om het proces v gebeurtenissen te begrijpen en op in te spelen.
di, 11/11/2025 - 19:58 Permalink
tingobop

Nee er is nooit een plan gemaakt. de vulling op de 17 is overknobbelend als alternatief voor een kroon. dit vond men voldoende.
de implantaat bij de 36 wilde ik zelf heel graag en werd dus niet (direct) aangeraden.

Nu wil ik daar rechts boven weer graag een implantaat maar welk advies kunt u daarvoor geven? daar ben ik namelijk erg benieuwd naar..

Ik zelf zou het liefste willen dat er met het trekken van de kies gelijk een implantaat (met indien nodig kunstbot) gezet word als dit mogelijk is..?
zoals ik al eerder schreef ben ik in het verleden eens bij een kaakchirurg geweest die wilde wel gelijk kunstbot plaatsen bij het trekken van de kies maar die wilde de implantaat op de plaats van de 16 zetten omdat dit dan beter aansloot. op zich best wel een logisch keuze want op de plaats van de 17 zit je nog altijd met een gat tussen de 15. maar voor mij zelf maakt het eigenlijk niet zoveel uit dat er daar boven helemaal achterin een gat tussen zit. maar voor een ondergebit zou ik dat erger vinden.

Maar als op de plaats van de 17 een makkelijker , sneller en vooral een kostenbesparend traject is om een implantaat erin te krijgen heeft dat mijn voorkeur.
en misschien op de plaats van de 17 een implantaat zo gek nog niet omdat je dan later nog uit kan breiden met een brug naar de 15.

Hoe denk u erover? hoor graag u bevindingen..
wo, 11/12/2025 - 01:26 Permalink
tingobop

Ik heb dan ook nog een vraag over de kies 17 waar ik de foto van gepost heb. ik snap de foto zelf niet zo goed. kunt u mij eens uitleggen wat er precies te zien is? voor zover ik kan zien is er een flink stuk van de wortel weg waar het gebied zwart is en niet grijs. maar het wortelkanaal waar de vulling zit staat er nog gewoon. hoe kan dit gezien alles er rond heen weg is?

gezien hoe goed ik er nog op kan kauwen kan ik mij eigenlijk niet voorstellen dat het stuk van de wortel wat niet meer word weergegeven op de foto er niet meer zou zijn maar alles is mogelijk natuurlijk.

ik ben vroeger eens bij een inval tandarts geweest en die vertelde dat je een wortel kon laten polijsten .hij vermoedde toen dat er mogelijk een ontsteking kon zijn waar de perforatie zat en was gedicht met MTA. omdat hier bacteriën aan de buitenkant konden verblijven. het heeft ook zeker 2 weken geduurd voordat de endodontoloog de kies ging behandelen en het gat heeft gedicht nadat de wortel door de tandarts geperforeerd was.


eigenlijk had de tandarts dit gat al gelijk moeten dichten maar die had geen microscoop en wilde de kies niet meer aanraken. ik zie wel op de foto waar de wortel onderbroken is precies zit waar de kies in het verleden is geperforeerd. zie andere foto van direct na de endo 10 jaar geleden.

er is ook duidelijk het advies gegeven door de endodontoloog dat deze kies goed nagevolgd moest worden . ik heb eigenlijk door de jaren heen een heel fotoboek van deze kies want heeft regelmatig klachten gegeven die ook weer overgingen maar de tandarts zag steeds niets dus de laatste jaren werden er geen foto's meer gemaakt met dit als gevolg nu. ik heb dan nu het idee dat de tandarts toch foto's had moeten blijven maken. in plaats daarvan werd ze een beetje pissig omdat ik telkens met klachten kwam er er niets te zien was. nu vraag ik mij ook af of ik dan wel op de juiste plaats ben geweest bij deze tandarts. maar ik heb ondertussen al zoveel tandartsen gehad en overal werd ik afgedaan als een gevoelige patient en zelfs geweigerd bij praktijken vanwege mijn klachten. .zo lang het bij een gaatje vullen blijft kunnen ze het allemaal wel maar nog geen enkele tandarts gehad die een plan voor mijn gebit op heeft gesteld en het over terugtrekkend kaakbot heeft gehad. bij veel kiezen liggen de wortels bloot en heb daar ook soms last van ontdanks elke dag poetsen met elmex directe pijnverlichting. . worden de problemen complexer trekken ze zich terug en krijg je te horen we zijn maar een huis, tuin en keuken tandarts.
Attach
wo, 11/12/2025 - 15:14 Permalink
Tandarts_Richa…

De rubber in de kanaal lost niet op. Sonderen om te voeklen wat er precies aan de hand is. Uw tandarts had de mogelijkheid niet om gelijk goed te dichten, zoals u stelt, dus goed gerdaan om door te sturen.
Daarom was ik ook benieuwd naar de foto bibliotheek (fotoboek).
Daarom zijn er gespecialiseerde Restauratieve Tandartsen.. ( welk regio woont u) Pittige vervolg opleiding gevolgd. Daar kunt u nog steeds naartoe voor een restauratie plan.
Ik ben zelf een algemeen tandarts met passie voor restauratieve tandheelkunde maar heb de opleiding niet gevolgd. Als het voor mij te ingewikkeld wordt heb ik een prima ploeg specialisten als backup. Samen komen wij er goed uit. Wat ik niet kan stuur ik door.
do, 11/13/2025 - 17:35 Permalink
tingobop

Ik woon in regio Zeeuws-Vlaanderen. ik kan pas eind Januari volgend jaar terecht bij de Kaakchirurg. met pieken en dalen heb ik er toch best last van. de klachten wisselen veel. ik kan de hele dag niets voelen en dan in de avond begint het en in de nacht zakt het weer.

maar goed wat denkt u van trekken en gelijk kunstbot erin? anders moet ik daar nog eens apart voor terugkomen.
vr, 11/14/2025 - 01:11 Permalink
Tandarts_Richa…

Of kunstbot gelijk gezet kan worden hangt af v d situatie ( a la minute te beoordelen) en de behandelaar.
Bij u in de buurt geen restauratief tandarts. Weet een heel goed adress in Rotterdam ... werken wel op verwijzing. Vraagt wel om een zekere bereidheid om flink te investeren afhankelijk v wat er gedaan moet worden.
Eind Januari.... heeft u Vlissingen/ Goes/ Bergen Op Zoom al geprobeerd.Ik zit in Bergen Op Zoom maar de wachtlijst is denk ik niet zo lang.En indien de nood heel hoog is mag ik bellen voor een spoed afspraak. En Belgie??.
vr, 11/14/2025 - 08:52 Permalink
tingobop

In Vlissingen bv kan ik ook niet eerder komen .dat zijn allemaal bij dezelfde Kaakchirurgen die in heel Zeeland zitten.

Ziekenhuizen hier voelen er meer voor om met andere groepen in zee gaan en misschien zo aan marktwerking doen. er zijn langere wachttijden omdat er maar 6 kaakchirurgen voor heel Zeeland zijn heb ik mij laten vertellen door de assistente daarvan. ik ben nu inderdaad naar België uitgeweken en kan begin december al komen. ben gelukkig bij zorgverzekeraar CZ die ook in België vergoeden. de goede Kaakchirurgen die hier eerst zaten zitten nu dus allemaal daar. ik heb nu een afspraak bij de Kaakchirurg die 10 jaar geleden mijn implantaat heeft gezet toen ze nog in mijn woonplaats Terneuzen in het ziekenhuis werkte.

een andere kaakchirurg. dr N. Neyt ben ik later nog eens met deze kies geweest. denk ik 2019 . die wilde ze toen al eruit halen. ze zei toen al dat die perforatie niet goed voor die kies was. ik heb het toen nog niet gedaan omdat de klachten weer over waren en er niks veranderd te zien was maar achteraf had ze dan wel gelijk gehad. zij wilde gelijk kunstbot plaatsen weet ik nog. maar dan op de plaats van de 16 want daar wilde zij de implantaat ook zetten. dit zou beter aansluiten op mijn gebit anders had ik daar nog een gat zitten zoals nu. op de plaats van de 16 zit geen kies dus zal kunstbot dan waarschijnlijk eerder kunnen. 17 eruit en gelijk doorpakken op de plaats van de 16. iedereen kijkt er misschien weer anders tegen aan maar zou u dit ook aanraden voor mij?
vr, 11/14/2025 - 17:24 Permalink
Tandarts_Richa…

Dat is vaak een probleem dat door onvoldoende mondhygiene ontstaat.
Bacterien...
Kan ook door overmatig druk,,,,,door bijv knarsen of een te hoge vulling
Maar een groot oorzaak is vaak roken...
etc etc etc.
Overleg met de Parodontoloog/mondhygienist
za, 11/15/2025 - 00:24 Permalink
tingobop

Nou ik rook en drink niet en ik ben sporter . ik draag ook elke nacht een knarsplaat. en ik poets 2x in het etmaal en spoel ook elke dag met anti bacterieel mondwater zonder alcohol. ik doe erg veel aan mondhygiëne en mijn mond is goed schoon . ik krijg daar ook altijd complimenten bij de tandarts over . maar hoe kan het dan toch dat het bot rond mijn tanden toch gezakt is? ik dacht altijd dat met het ouder worden juist je kaakbot meer slonk maar dat is dan toch niet zo?? of kan het misschien ook genetisch bepaald zijn?
za, 11/15/2025 - 00:47 Permalink
Tandarts_Richa…

Een bacterie... krachtsport?? er zijn zo veel redenen.
Dan zou ik echt persoonlijk moeten onderzoeken om een idee te krijgen. Zou dus de Rö bibliotheek moeten bestuderen om het verloop v verlies te zien.
Dit is waarschijnlijk niet v d ene dag op de andere dag ontstaan..... Wanneer??? op welke leeftijd??? geleidelijk/ progressief???? etc etc.
za, 11/15/2025 - 01:01 Permalink
tingobop

Ja ik doe al 30 jaar aan krachtsport maar ik bijt nooit op mijn tanden. dat heb ik wel geleerd. mogelijk dat ik vroeger minder goed poetste want toen had ik altijd wel gaatjes. sinds 2015 een elektrische tandenborstel en is mij uitgelegd bij een tandarts hoe ik moet poetsen en heb sindsdien tot nu nooit meer een gaatje gehad. ik flos en ik rager ook elke dag.

foto's van voor 2015 heb ik helaas niet . ik zat toen bij een tandarts in België die nog foto's maakte op de oude manier. dat leken op een soort negatieven die hij in het licht hield. niet digitaal dus. maar toen lagen de wortels van kiezen ook al bloot.
za, 11/15/2025 - 12:01 Permalink
tingobop

Om even terug te komen bij de kies waar het nu om gaat. kan het zijn dat dit niet verder gaat dan het nu is? de wortel lijkt alleen precies op de plek weg te zijn bij de perforatie . anderzijds vind ik het opmerkelijk dat er steeds minder last is. gisteren avond kauwde ik noten en pindas erop zonder problemen.

waarschijnlijk heb ik ook een verkoudheid gehad omdat ik toen de last begon steken had in mijn voorhoofd helemaal aan de andere kant terwijl ik de kies niet voelde .dit kon volgens mij toch nooit van die kies zijn. ik vind het zo opmerkelijk. je zou juist denken dat je er dan elke dag last van moet hebben als je een stuk wortel mist. voel me nu vandaag ook kiplekker en kan er telkens goed mee kauwen.

maar het is wel een kies met 3 wortels. soms denk ik bestaat de mogelijkheid niet om enkel die aangedane wortel inkorten/ kies inkorten ,stuk wortel wat er nog in zit eraf en eruit te halen en van boven afdichten .en op de andere 2 wortels die goed zijn een kroon te plaatsen? zo nodig paar wortelstiften erin en de boel dus inkorten. zou dat mogelijk zijn?? uiteraard even vooraf 3D onderzoek doen om te bekijken wat de staat van de andere wortels is. maar ik heb zo het idee dat er bacteriën op de plaats van de perforatie zijn achtergebleven op de buitenkant van de wortel en dat deze eigenlijk gepolijst had moeten worden.
za, 11/15/2025 - 12:45 Permalink
tingobop

Ik heb zojuist nog opgezocht waarom ik nog zo goed kan kauwen op de 2 overgebleven wortels.

U kunt waarschijnlijk nog goed kauwen omdat de twee andere wortels van de kies voldoende houvast bieden in de kaak, zelfs als een wortel verloren is gegaan. Een kies met drie wortels, zoals een bovenkies, is sterk genoeg en kan nog steeds stabiel blijven functioneren zonder de verloren wortel, mits deze wortel niet cruciaal was voor de stabiliteit of als er nog andere steunfactoren aanwezig zijn.
Steun van de andere wortels: Uw kies heeft drie wortels die als ankers in de kaak zitten. Zelfs met één verloren wortel, bieden de andere twee nog steeds een sterke verankering om te kauwen.
Stabiliteit: Het verloren deel van de wortel was waarschijnlijk minder belangrijk voor de algehele stabiliteit van de kies dan de overgebleven wortels. De kies kan daarom nog steeds goed functioneren.
Individuele verschillen: De mogelijkheid om goed te blijven kauwen is afhankelijk van de specifieke anatomie van uw kies en hoe de wortels verdeeld zijn. Soms kan een kies, zelfs met een deel van een wortel verloren, nog steeds functioneren.
za, 11/15/2025 - 12:53 Permalink
Tandarts_Richa…

Soms heb je helemaal geen last als er iets mis is. Verkoudheid kan in de bovenkaak ook gevoeligheid geven.
Wij doen soms een hemisectie.. halen de slechte wortel eruit. In het verleden heb ik dat vaak toegepast in de tijd dat een implantaat niet zulke goede resultaten gaf. Als het goede deel goed en sterk is heb ik het ook als brugdeel gebruikt.
za, 11/15/2025 - 21:06 Permalink
tingobop

Dank u wel voor deze informatie. als u dit allemaal zelf uitvoert moet u wel een goede en ervaren tandarts zijn. mijn tandarts met de ervaring die ik ermee heb zou daar nooit aan beginnen .
ik denk dat het weer tijd word voor een andere tandarts al heb ik er al veel gehad maar nooit eentje die eens een behandelplan voor mijn gebit opstelde en mijn gebitsklachten serieus nam. .

er zijn al jaren geregeld pijnklachten vooral aan de rechterkant en ze lossen niets op als enkel eens een foto maken en dan zeggen we zien er niks op. de onderste kies 46 heeft ook problemen. daar liggen de tandwortels flink van bloot maar mijn tandarts lijkt er niet al teveel aandacht aan te besteden, ze zegt dan enkel poetsen met Elmex directe pijnverlichting en dan zeg ik dat doe ik al meer dan 10 jaar en helpt niet. dan zegt ze weer wat op je vingers en erop smeren. .helaas lost dat ook verder niets op. vanavond at ik kaas en ik zit nu met kiespijn dit trekt ook naar boven en voel ik dus ook in mijn bovenkaak trekken bij de bovenste kies nr 17. .pijn lijkt dus ook naar boven te trekken vanuit onderen. ik moest het nu zeker weten dus ik drukte daarna nog wat kaas tussen de 46 en de 47 waar een flinke grot tussen zit en ja hoor nog meer pijn .deze pijn blijft een hele tijd hangen. de zenuw raakt erg geprikkeld. ik voelde het een week geleden ook al met warm eten. steeds steken. de ene dag is het wel minder gevoelig dan de andere dag. het wisselt vaak en er zijn ook periodes zonder klachten. mogelijk ook afhankelijk van wat ik eet.

ik ben mij er een beetje in aan het verdiepen en lees mogelijkheden. over tandhalzen van een grote kies kunnen gevuld worden met tandkleurige hars (composiet) en een tandvlees graft (gingiva-transplantatie) klopt dit?

mijn tandarts heeft het hier nooit over gehad. ik moest bij het laatste bezoek zelf nog aansturen om een foto te maken van kies 17 omdat ik wat voelde want ze was eigenlijk al kribbig dat ik weer over de rechterkant begon. ik vroeg eens een foto te maken en dat werd eerst nog een een beetje bozige manier van praten geweigerd omdat ze naar eigen zeggen toch nooit wat zag. maar dan wel bij het zien van de foto luidkeels gaan roepen Ja die moet eruit!! ik ben niet echt blij met zo'n tandarts. beetje klaar mee ook.

ben ik bij de kaakchirurg ook op de goede plek voor een hemisectie.??
zo, 11/16/2025 - 00:05 Permalink
Tandarts_Richa…

Ervaring 43 jr ...goed???... vraag het aan mijn clienten en de tandartsen die zich door mij laten behandelen.
Vraatg om een uitgebreid behandel plan.
Dat de wortels bloot liggen kan ik zien op de panorama foto. Er is gegeneraliseerd bot verlies. Lijkt mij verstandig om ook een parodontoloog te raadplegen. Maar eerst een goed behandel/stappen plan. Maak een duidelijk plan afhankelijk v wat u financieel wilt/kan investeren, en wat u zelf zou willen.
Een hemisectie heeft geen zin als men niet duidelijk weet wat verder met de 17 gedaan wordt. Een KC kan dat doen...maar waarvoor???.
Wij kunnen hier v alles bedenken maar dat heeft geen zin.
Maak een goed plan beginnend met de fundering (parodontoloog)... Als uw tandarts zich daar niet capabel voor voelt vraag om een verwijzing naar een collega die u verder kan helpen. Kijk wat u financieel kunt/voorover hebt.
net als het vinden v een verwaarloosd auto in een boerenschuur dat helemaal als nieuw gerestaureerd kan worden kan uw gebit helemaal opgeknapt worden maar heeft u die duizenden euro's/voor over.
zo, 11/16/2025 - 00:48 Permalink
tingobop

Ach zo . het gaat mij veel geld kosten om van de pijn af te komen... ik ben aanvullend verzekerd en ik ben niet vermogend.
(zou mijn tandarts dat ook weten en daarom maar niets voorstellen..) maar had dit allang niet al stukje bij beetje door de jaren heen moeten gebeuren .ik neem aan dat je met je aanvullende verzekering dan ook al een eind komt? of is een gezond gebit enkel maar weggelegd voor rijke mensen?

de 17 wil ik graag behouden. liever die wortel eruit als een dure implantaat erin. dan een plan maken waar de 17 in voorkomt. het hoognodige doen maar ik hoef geen mooi gebit te hebben. dit heeft voor mij geen prioriteit .als ik er maar mee kan kauwen en de kies dus doet waar die voor gemaakt is en aansluit op mijn eetgewoontes . ik knabbel elke avond graag op noten en dit gaat gewoon goed. ook op de 17 zonder pijn. vandaar dat ik dan zoiets heb die moet er niet uit maar een oplossing voor gevonden worden. ik ga deze kies dus niet zomaar op of afgeven en zou zelf pas kiezen laten trekken als ik er helemaal niets meer mee kan en elke dag verga van de pijn ervan. dit is echter niet het geval. ik voel mij verder ook goed. alleen de 46 moet dringend ook wat aan gedaan worden. kunnen de blootliggende wortels niet gewoon met composiet afgewerkt worden bij de tandarts dan? ik heb 570 euro per jaar tandartsvergoeding ,daar moet toch iets mee kunnen maar mijn tandarts stelt nooit niks voor als enkel zeggen bij controle even kijken dat ziet er weer prima uit en ze is weer weg. dan komt daarna de mondhygiëniste met een apparaatje om wat tandsteen te doen en ik kan weer naar huis. zo gaat het al jaren.
zo, 11/16/2025 - 12:04 Permalink
Tandarts_Richa…

Niet veel geld om v d pijn af te komen ...wel afhankelijk v uw keuze uit de mogelijkheden om uw kauwvermogen te behouden.
IK... vind dat als je in de loop der jaren investeert in je gebit de kosten uiteindelijk minder zullen zijn en voor meer personen op te brengen. Niet alleen de rijken.
Als je een huis hebt v 4 ton.. neem je dan een brandverzekering v e ton??. wel als je gecalculeerd de eigen risico neemt. Voor nu lijkt mij 570 voor uw gebit onderverzekerd als u wilt restaureren niet als alleen het hoognodige gedaan wordt. December de maand om uw verzekering tegen het licht te houden.
De 17 met hemisectie alleen als het in de gekozen behandel plan past niet houden om te houden zoals uw gedachte nu over komt.
Afhankelijk v hoe het in de mond uitziet ....wel of niet mogelijk om met composiet te bedekken. zo voor mij niet te zien.
Nogmaals maak een keuze uit de behandel mogelijkheden dat voor u betaalbaar is. En handel ernaar.
zo, 11/16/2025 - 14:06 Permalink
tingobop

Ja daar heeft u natuurlijk wel helemaal gelijk in maar dat is dan ook afhankelijk van welke tandarts mij gaat behandelen of niet? de ene zegt misschien kies 17 behouden en de ander ziet daarmee een ander plan.. ja afhankelijk van wat ik erin wil stoppen en ook een beetje wat mijn wensen zijn denk ik dan toch? zoals gezegd mijn tandarts en overal waar ik bij de tandarts geweest ben heeft het nog nooit over een behandelplan gehad en van die 570 euro werd de laatste 7 jaar eigenlijk nooit meer opgebruikt dan 200 euro . waar moet ik zo'n tandarts vandaan halen die met behandelplannen werkt? kunt u mij misschien een tandarts aanbevelen in mijn omgeving? want ik wil best eens kijken naar een hogere tandartsverzekering maar dan moet ik wel een tandarts hebben die daar aan gaat komen. vooralsnog zal ik dan eerst moeten overstappen want met de huidige tandarts valt dit niet te bespreken. die vond nooit niks nodig. ze wil nog geen 35 jaar oude amalgaamvulling vervangen maar zegt wel dat deze begint af te brokkelen maar ze vind het nog wel gaan.
ma, 11/17/2025 - 00:50 Permalink
tingobop

Bedankt maar dat is behoorlijk ver weg voor mij. en hoeveel keer moet je terugkomen of kan je niet makkelijk terug als er problemen voordoen. lijkt mij niet erg handig het zo ver weg te zoeken. k ben ook niet in het bezit van een auto. dus even op en neer kan dan ook niet. en met het ov is vanuit Zeeuws-Vlaanderen een drama. rijden alleen maar bussen hier.
ma, 11/17/2025 - 19:35 Permalink
tingobop

Ik wil toch graag inzetten voor Hemisectie van de 17 . mogelijk ook een brug plaatsen naar de 15 toe, dit is omdat ik er nog goed op kauwen en daarom vermoed dat de rest van de kies nog helemaal goed is.

Een hemisectie kan een geschikte behandelingsoptie zijn als er sprake is van wortelresorptie aan slechts één wortel van een kies (molaar), terwijl de andere wortels en de rest van de tand nog in goede staat verkeren.
Wat is hemisectie?
Hemisectie is een tandheelkundige procedure waarbij een tand met meerdere wortels (meestal een molaar in de onderkaak) in stukken wordt verdeeld. De aangedane wortel en het bijbehorende deel van de kroon worden verwijderd, terwijl het gezonde deel van de tand behouden blijft.
Voorwaarden voor succes
Om succesvol te zijn, moet aan een aantal voorwaarden worden voldaan:
Goede conditie overige wortels: De resterende wortel(s) en het omliggende kaakbot moeten gezond zijn en voldoende steun bieden aan het overgebleven deel van de tand.
Toegankelijkheid: Het resorptiedefect moet chirurgisch goed bereikbaar zijn om de procedure correct te kunnen uitvoeren en het gebied schoon te maken.
Endodontische behandeling: Het resterende deel van de tand heeft vaak al een wortelkanaalbehandeling nodig of heeft deze al gehad, of deze wordt gelijktijdig uitgevoerd.
Herstelmogelijkheden: Na de hemisectie is vaak een restauratie nodig, zoals een kroon of brug, om de functie en structuur van de overgebleven tand te herstellen.
Overwegingen
Wortelresorptie, vooral de agressieve cervicale vorm, wordt vaak pas laat gediagnosticeerd, waardoor de prognose soms niet optimaal is. Een zorgvuldige evaluatie door een tandarts of specialist, vaak met behulp van 3D-röntgenopnamen (CBCT) voor een nauwkeurige diagnose, is essentieel om te bepalen of hemisectie de juiste keuze is. Het doel is om een functioneel deel van de tand te behouden en zo een volledige extractie te voorkomen.
di, 11/18/2025 - 00:13 Permalink
Tandarts_Richa…

Nogmaals eerst goed behande; /stappen plan.
"De resterende wortel(s) en het omliggende kaakbot moeten gezond zijn en voldoende steun bieden aan het overgebleven deel van de tand." Dit zou ik goed door een parodontoloog laten beoordelen. Mogelijk dat die ook de hemisectie kan doen.
Maar eerst de rest v h gebit laten beoordelen.....U heeft gegeneraliseerd bot verlies. Ik weet niet hoe oud de panorama foto is.
EERST Behandel/ stappenplan
di, 11/18/2025 - 17:57 Permalink
tingobop

Ok bedankt. Goes is voor mij niet zo ver weg . maar kan een Kaakchirurg dit niet beoordelen of er voldoende bot is met 3D CBCT en de hemisectie uitvoeren? . liever daar want dat kan vanuit de basisverzekering. en ik heb daar ook nog een afspraak staan. ga deze week mijn tandarts nog contacteren voor een andere verwijsbrief . opg is al van wat jaren terug inderdaad maar een kaakchirurg heeft toch ook voldoende kijk op de gesteldheid van het kaakbot neem ik aan? ik spoel nu sinds gisteren 2x per dan met Perio aid 0,12 en het tandvlees achter de kies is al veel minder gevoelig. er zitten daar wat diepere pockets zei mijn tandarts dus ik dacht aan Perio aid.
di, 11/18/2025 - 19:48 Permalink
Tandarts_Richa…

Een KC kan het natuurlijk wel beoordelen Maar behandelt parodontale problemen niet. Daar is de parodontoloog voor. Als de pockets te diep zijn komt u er niet mee weg om alleen perioaide te gebruiken.
U kunt v alles bedenken maar uiteindelijk moet er een duidelijk diagnose/plan gemaakt worden.
Zo blijven wij als een drol in een pot ronddraaien maar weg spoelen ho maar.
GOED PLAN MAKEN.
di, 11/18/2025 - 19:59 Permalink